The KIAA1429 Antibody (CAB16201) is a high-quality antibody developed for reliable detection and analysis of target proteins. This antibody, raised in rabbits, has high reactivity with human samples and has been validated for use in Western blot applications. By binding specifically to the KIAA1429 protein, this antibody enables precise detection and analysis in a variety of cell types, making it an excellent choice for investigations in molecular biology and RNA biology research.KIAA1429 is known to be involved in regulating mRNA modification and stability, influencing processes such as splicing and polyadenylation.
This antibody is validated for use in WB, IHC-P, ELISA applications and has demonstrated reactivity against Human, Mouse, Rat samples.
Product Name:
KIAA1429 Antibody
SKU:
CAB16201
Size:
20μL, 100μL
Reactivity:
Human, Mouse, Rat
Conjugate:
Unconjugated
Immunogen:
Recombinant protein (or fragment).This information is considered to be commercially sensitive.
Enables RNA binding activity. Involved in mRNA alternative polyadenylation and mRNA methylation. Located in cytosol and nuclear speck. Colocalizes with RNA N6-methyladenosine methyltransferase complex.
Purification Method
Affinity purification
Gene ID
25962
RRID
AB_2763654
Buffer Information
Store at -20℃. Avoid freeze / thaw cycles. Buffer: Buffer: PBS containing 50% glycerol, preserved with proclin300 or sodium azide, pH 7.3.
Western blot analysis of lysates from PC-3 cells using VIRMA/KIAA1429 Rabbit pAb (CAB16201) at 1:2000 dilution incubated overnight at 4℃. Secondary antibody: HRP-conjugated Goat anti-Rabbit IgG (H+L) (CABS014) at 1:10000 dilution. Lysates/proteins: 25 μg per lane. Blocking buffer: 3% nonfat dry milk in TBST. Detection: ECL Basic Kit (AbGn00020). Exposure time: 20 s.
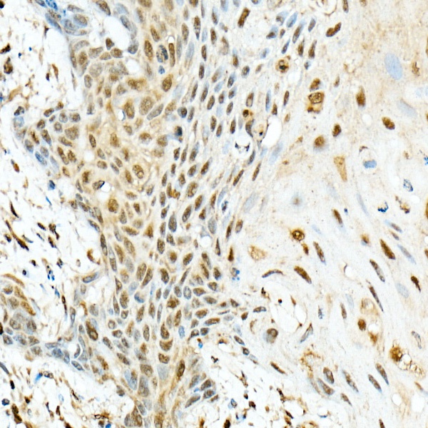
Immunohistochemistry analysis of paraffin-embedded Human esophageal cancer using VIRMA/KIAA1429 Rabbit pAb (CAB16201) at dilution of 1:200 (40x lens). High pressure antigen retrieval performed with 0.01M Citrate buffer (pH 6.0) prior to IHC staining.