The KIF20A Antibody (CAB15377) is a high-quality antibody developed for reliable detection and analysis of target proteins. This antibody, generated in rabbits, exhibits high reactivity with human samples and has been validated for use in Western blotting applications. By binding specifically to the KIF20A protein, this antibody allows for the detection and analysis of KIF20A in various cell types, making it ideal for studies in cell biology and cancer research.KIF20A, also known as MKLP2, is essential for the proper completion of cell division as it regulates the formation and stability of the mitotic spindle during cytokinesis.
This antibody is validated for use in WB, ELISA applications and has demonstrated reactivity against Human, Mouse, Rat samples.
Product Name:
KIF20A Antibody
SKU:
CAB15377
Size:
20μL, 100μL
Reactivity:
Human, Mouse, Rat
Conjugate:
Unconjugated
Immunogen:
Recombinant protein (or fragment).This information is considered to be commercially sensitive.
Enables protein kinase binding activity. Involved in microtubule bundle formation; midbody abscission; and regulation of cytokinesis. Located in several cellular components, including cleavage furrow; intercellular bridge; and midbody. Implicated in restrictive cardiomyopathy.
Purification Method
Affinity purification
Gene ID
10112
RRID
AB_2762282
Buffer Information
Store at -20℃. Avoid freeze / thaw cycles. Buffer: PBS with 0.09% Sodium azide,50% glycerol,pH7.3.
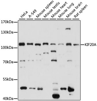
Western blot analysis of various lysates using KIF20A Rabbit pAb (CAB15377) at 1:1000 dilution. Secondary antibody: HRP-conjugated Goat anti-Rabbit IgG (H+L) (CABS014) at 1:10000 dilution. Lysates/proteins: 25μg per lane. Blocking buffer: 3% nonfat dry milk in TBST. Detection: ECL Basic Kit (AbGn00020). Exposure time: 15s.