The KLHL9 Antibody (CAB10149) is a high-quality antibody developed for reliable detection and analysis of target proteins. This antibody, produced through rabbit immunization, exhibits high specificity towards KLHL9 in human samples and is suitable for use in Western blot applications. By binding to KLHL9, the antibody enables precise detection and analysis of the protein in various cell types, making it an essential component of studies in cell biology and disease mechanisms.KLHL9 is known to interact with other proteins to form functional complexes that regulate key cellular functions, making it a promising target for research on cell signaling pathways and protein degradation mechanisms.
This antibody is validated for use in WB, IHC-P, ELISA applications and has demonstrated reactivity against Human, Mouse, Rat samples.
Product Name:
KLHL9 Antibody
SKU:
CAB10149
Size:
20μL, 100μL
Reactivity:
Human, Mouse, Rat
Conjugate:
Unconjugated
Immunogen:
Recombinant protein (or fragment).This information is considered to be commercially sensitive.
This gene encodes a protein that belongs to the kelch repeat-containing family, and contains an N-terminal BTB/POZ domain, a BACK domain and six C-terminal kelch repeats. The encoded protein is a component of a complex with cullin 3-based E3 ligase, which plays a role in mitosis. This protein complex is a cell cycle regulator, and functions in the organization and integrity of the spindle midzone in anaphase and the completion of cytokinesis. The complex is required for the removal of the chromosomal passenger protein aurora B from mitotic chromosomes.
Purification Method
Affinity purification
Gene ID
55958
RRID
AB_2757676
Buffer Information
Store at -20℃. Avoid freeze / thaw cycles. Buffer: PBS containing 50% glycerol, preserved with proclin300 or sodium azide, pH 7.3.
Western blot analysis of lysates from 293T cells, using KLHL9 Rabbit pAb (CAB10149) at 1:1000 dilution. Secondary antibody: HRP-conjugated Goat anti-Rabbit IgG (H+L) (CABS014) at 1:10000 dilution. Lysates/proteins: 25μg per lane. Blocking buffer: 3% nonfat dry milk in TBST. Detection: ECL Basic Kit (AbGn00020). Exposure time: 30s.
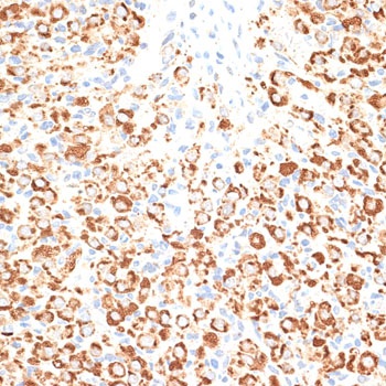
Immunohistochemistry analysis of paraffin-embedded Rat ovary using KLHL9 Rabbit pAb (CAB10149) at dilution of 1:100 (40x lens). Microwave antigen retrieval performed with 0.01M PBS Buffer (pH 7.2) prior to IHC staining.
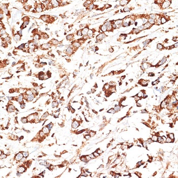
Immunohistochemistry analysis of paraffin-embedded Human breast cancer using KLHL9 Rabbit pAb (CAB10149) at dilution of 1:100 (40x lens). Microwave antigen retrieval performed with 0.01M PBS Buffer (pH 7.2) prior to IHC staining.
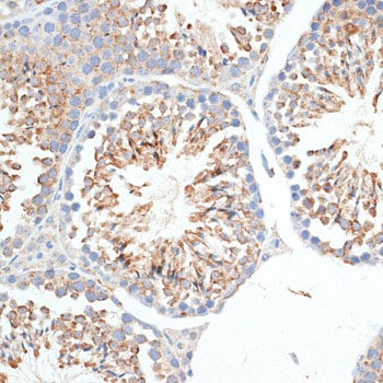
Immunohistochemistry analysis of paraffin-embedded Mouse testis using KLHL9 Rabbit pAb (CAB10149) at dilution of 1:100 (40x lens). Microwave antigen retrieval performed with 0.01M PBS Buffer (pH 7.2) prior to IHC staining.