The [KO Validated] WSTF Antibody (CAB9851) is a high-quality antibody developed for reliable detection and analysis of target proteins. This antibody, produced in rabbits, exhibits high reactivity with human samples and is validated for use in Western blot applications.BAZ1B, also known as Williams syndrome transcription factor, is involved in DNA repair, transcriptional activation, and chromatin remodeling processes. Dysregulation of BAZ1B has been linked to developmental disorders, cancer, and other diseases.
This antibody is validated for use in WB, IHC-P, ELISA applications and has demonstrated reactivity against Human, Mouse, Rat samples.
Product Name:
[KO Validated] WSTF Antibody
SKU:
CAB9851
Size:
20μL, 100μL
Reactivity:
Human, Mouse, Rat
Conjugate:
Unconjugated
Immunogen:
Recombinant protein (or fragment).This information is considered to be commercially sensitive.
Recommended starting concentration is 1 μg/mL. Please optimize the concentration based on your specific assay requirements.
Synonyms:
WSTF, WBSCR9, WBSCR10, TF
Positive Sample:
SW480, BT-474, SKOV3, HeLa, HepG2, Mouse thymus
Cellular Localization:
Nucleus.
Calculated MW:
171kDa
Observed MW:
190kDa
This gene encodes a member of the bromodomain protein family. The bromodomain is a structural motif characteristic of proteins involved in chromatin-dependent regulation of transcription. This gene is deleted in Williams-Beuren syndrome, a developmental disorder caused by deletion of multiple genes at 7q11.23.
Purification Method
Affinity purification
Gene ID
9031
RRID
AB_2863781
Buffer Information
Store at -20℃. Avoid freeze / thaw cycles. Buffer: PBS containing 50% glycerol, preserved with proclin300 or sodium azide, pH 7.3.
Western blot analysis of various lysates using [KO Validated] WSTF Rabbit pAb (CAB9851) at 1:1000 dilution. Secondary antibody: HRP-conjugated Goat anti-Rabbit IgG (H+L) (CABS014) at 1:10000 dilution. Lysates/proteins: 25μg per lane. Blocking buffer: 3% nonfat dry milk in TBST. Detection: ECL Basic Kit (AbGn00020). Exposure time: 5s.
Western blot analysis of lysates from wild type (WT) and WSTF knockout (KO) HeLa cells, using [KO Validated] WSTF Rabbit pAb (CAB9851) at 1:500 dilution. Secondary antibody: HRP-conjugated Goat anti-Rabbit IgG (H+L) (CABS014) at 1:10000 dilution. Lysates/proteins: 25μg per lane. Blocking buffer: 3% nonfat dry milk in TBST. Detection: ECL Basic Kit (AbGn00020). Exposure time: 1s.
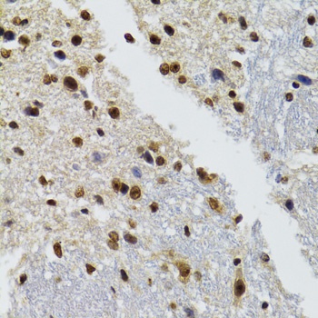
Immunohistochemistry analysis of paraffin-embedded Mouse brain using [KO Validated] WSTF Rabbit pAb (CAB9851) at dilution of 1:100 (40x lens). Microwave antigen retrieval performed with 0.01M PBS Buffer (pH 7.2) prior to IHC staining.