The [KO Validated] Fas Monoclonal Antibody (CAB19582) is a high-quality antibody developed for reliable detection and analysis of target proteins. This highly specific antibody, generated in rabbits, is validated for knockout (KO) studies and is suitable for various applications including immunohistochemistry and flow cytometry.Fas, also known as CD95, is a cell surface receptor that triggers apoptosis in response to extracellular signals, playing a crucial role in immune regulation and tissue homeostasis. Dysregulation of the Fas pathway has been implicated in various diseases such as cancer, autoimmune disorders, and neurodegenerative conditions, making it a promising target for therapeutic interventions.
This antibody is validated for use in WB, IHC-P, ELISA applications and has demonstrated reactivity against Human, Rat samples.
Product Name:
[KO Validated] Fas Monoclonal Antibody
SKU:
CAB19582
Size:
20μL, 100μL
Reactivity:
Human, Rat
Clone Number:
ARC0061
Conjugate:
Unconjugated
Immunogen:
Synthetic peptide. This information is considered to be commercially sensitive.
Cell Membrane, Secreted, Single-Pass Type I Membrane Protein.
Calculated MW:
9-38kDa
Observed MW:
38-55kDa
The protein encoded by this gene is a member of the TNF-receptor superfamily. This receptor contains a death domain. It has been shown to play a central role in the physiological regulation of programmed cell death, and has been implicated in the pathogenesis of various malignancies and diseases of the immune system. The interaction of this receptor with its ligand allows the formation of a death-inducing signaling complex that includes Fas-associated death domain protein (FADD), caspase 8, and caspase 10. The autoproteolytic processing of the caspases in the complex triggers a downstream caspase cascade, and leads to apoptosis. This receptor has been also shown to activate NF-kappaB, MAPK3/ERK1, and MAPK8/JNK, and is found to be involved in transducing the proliferating signals in normal diploid fibroblast and T cells. Several alternatively spliced transcript variants have been described, some of which are candidates for nonsense-mediated mRNA decay (NMD). The isoforms lacking the transmembrane domain may negatively regulate the apoptosis mediated by the full length isoform.
Purification Method
Affinity purification
Gene ID
355
RRID
AB_2862681
Buffer Information
Store at -20℃. Avoid freeze / thaw cycles. Buffer: PBS containing 50% glycerol and 0.05% BSA, preserved with proclin300 or sodium azide, pH 7.3.
Western blot analysis of various lysates using Fas Rabbit mAb (CAB19582) at 1:1000 dilution. Secondary antibody: HRP-conjugated Goat anti-Rabbit IgG (H+L) (CABS014) at 1:10000 dilution. Lysates/proteins: 25μg per lane. Blocking buffer: 3% nonfat dry milk in TBST. Detection: ECL Basic Kit (AbGn00020). Exposure time: 90s.
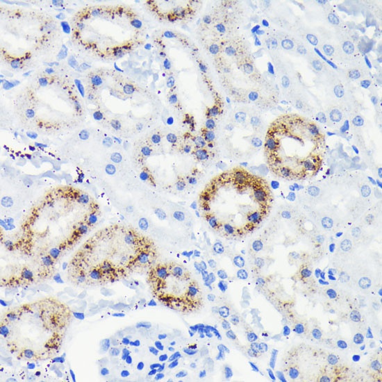
Immunohistochemistry analysis of paraffin-embedded Rat kidney using Fas Rabbit mAb (CAB19582) at dilution of 1:100 (40x lens). Microwave antigen retrieval performed with 0.01M PBS Buffer (pH 7.2) prior to IHC staining.