null
100% Quality Guarantee
PhD-Level Technical Support
Key Features

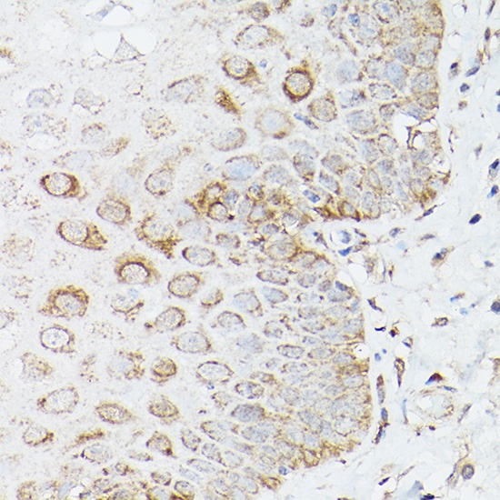
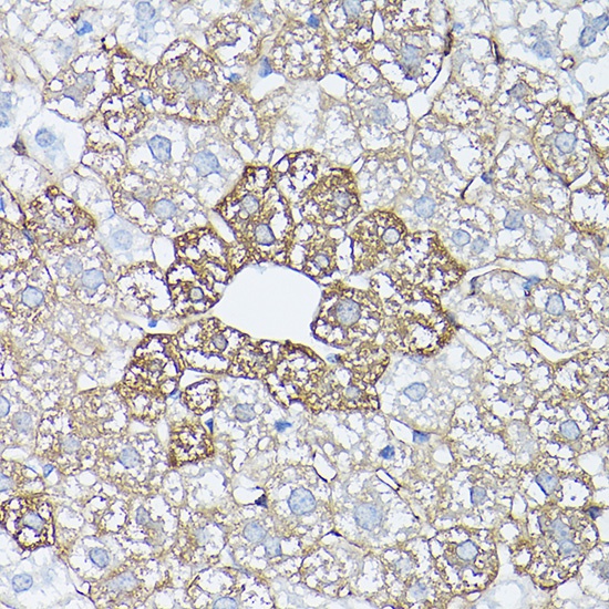
[KO Validated] Glutamine Synthetase (GLUL) Rabbit Polyclonal Antibody (CAB5437)

SKU CAB5437
Product Type Antibody
Antibody Type Polyclonal Antibody
Reactivity Human, Mouse, Rat
Host Species Rabbit
Synonyms GS, GLNS, PIG43, PIG59, L)
Research Use Cardiovascular
$149 - $603
Global Shipping: 80+ Countries
White Glove Service: Available upon request
Batch Consistency: Contact Sales
Distributors: 60+ Countries

Description

system_update_altDatasheetsystem_update_altMSDS

[KO Validated] Glutamine Synthetase (GLUL) Antibody (CAB5437)

The [KO Validated] Glutamine Synthetase (GLUL) Antibody (CAB5437) is a high-quality antibody developed for reliable detection and analysis of target proteins. This antibody, produced in rabbits, exhibits high specificity and sensitivity towards human samples, making it a reliable choice for Western blot applications.GLUL, also known as glutamine synthetase, is involved in the conversion of glutamate to glutamine, a process essential for various cellular functions, including energy production and neurotransmission.

This antibody is validated for use in WB, IHC-P, IF/ICC, ELISA applications and has demonstrated reactivity against Human, Mouse, Rat samples.

0 Reviews

0
Based on 0 reviews

No reviews yet. Be the first to share your experience!

View AllClose