The [KO Validated] SLC25A22 Antibody (CAB17772) is a high-quality antibody developed for reliable detection and analysis of target proteins. This rabbit-derived antibody shows high reactivity with human samples and has been validated for use in Western blot applications. By binding specifically to the SLC25A22 protein, researchers can detect and study its expression in various cell types, making it ideal for investigations in mitochondrial biology and metabolic disorders.SLC25A22 plays a key role in transporting metabolites across the mitochondrial membrane, contributing to energy production and metabolic homeostasis.
This antibody is validated for use in WB, IF/ICC, ELISA applications and has demonstrated reactivity against Human, Mouse, Rat samples.
Product Name:
[KO Validated] SLC25A22 Antibody
SKU:
CAB17772
Size:
20μL, 100μL
Reactivity:
Human, Mouse, Rat
Conjugate:
Unconjugated
Immunogen:
Recombinant protein (or fragment).This information is considered to be commercially sensitive.
Recommended starting concentration is 1 μg/mL. Please optimize the concentration based on your specific assay requirements.
Synonyms:
GC1, DEE3, GC-1, EIEE3, NET44, 22
Positive Sample:
U-87MG, HepG2, A-549, A-431, Mouse brain, Rat brain, 293T
Cellular Localization:
Mitochondrial Inner Membrane.
Calculated MW:
34kDa
Observed MW:
34kDa
This gene encodes a mitochondrial glutamate carrier. Mutations in this gene are associated with early infantile epileptic encephalopathy. Multiple alternatively spliced variants, encoding the same protein, have been identified.
Purification Method
Affinity purification
Gene ID
79751
RRID
AB_2772258
Buffer Information
Store at -20℃. Avoid freeze / thaw cycles. Buffer: PBS with 0.09% Sodium azide,50% glycerol,pH7.3.
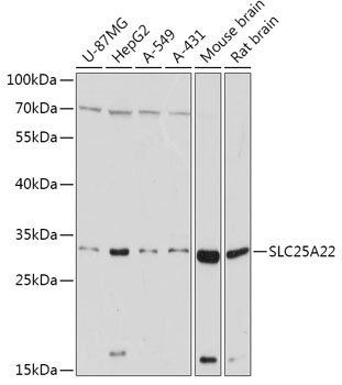
Western blot analysis of various lysates using [KO Validated] SLC25A22 Rabbit pAb (CAB17772) at 1:1000 dilution. Secondary antibody: HRP-conjugated Goat anti-Rabbit IgG (H+L) (CABS014) at 1:10000 dilution. Lysates/proteins: 25μg per lane. Blocking buffer: 3% nonfat dry milk in TBST. Detection: ECL Basic Kit (AbGn00020). Exposure time: 30s.
Western blot analysis of lysates from wild type (WT) and SLC25A22 knockout (KO) 293T cells, using [KO Validated] SLC25A22 Rabbit pAb (CAB17772) at 1:1000 dilution. Secondary antibody: HRP-conjugated Goat anti-Rabbit IgG (H+L) (CABS014) at 1:10000 dilution. Lysates/proteins: 25μg per lane. Blocking buffer: 3% nonfat dry milk in TBST. Detection: ECL Basic Kit (AbGn00020). Exposure time: 90s.
Immunofluorescence analysis of L929 cells using [KO Validated] SLC25A22 Rabbit pAb (CAB17772) at dilution of 1:100. Secondary antibody: Cy3-conjugated Goat anti-Rabbit IgG (H+L) (CABS007) at 1:500 dilution. Blue: DAPI for nuclear staining.