The [KO Validated] Twist Antibody (CAB15596) is a high-quality antibody developed for reliable detection and analysis of target proteins. This polyclonal antibody, developed and validated using knockout (KO) models, is ideal for investigating the functions and regulatory mechanisms of TWIST in various biological processes.TWIST is a key regulator of epithelial-mesenchymal transition (EMT), a process involved in embryonic development, tissue regeneration, and cancer metastasis. Dysregulation of TWIST expression has been linked to various diseases, including cancer and genetic disorders.
This antibody is validated for use in WB, IHC-P, ELISA applications and has demonstrated reactivity against Human, Mouse, Rat samples.
Product Name:
[KO Validated] Twist Antibody
SKU:
CAB15596
Size:
20μL, 100μL
Reactivity:
Human, Mouse, Rat
Conjugate:
Unconjugated
Immunogen:
Synthetic peptide. This information is considered to be commercially sensitive.
293T, A-549, NIH/3T3, Mouse brain, Mouse heart, Rat brain, Rat heart
Cellular Localization:
Nucleus.
Calculated MW:
21kDa
Observed MW:
25kDa
This gene encodes a basic helix-loop-helix (bHLH) transcription factor that plays an important role in embryonic development. The encoded protein forms both homodimers and heterodimers that bind to DNA E box sequences and regulate the transcription of genes involved in cranial suture closure during skull development. This protein may also regulate neural tube closure, limb development and brown fat metabolism. This gene is hypermethylated and overexpressed in multiple human cancers, and the encoded protein promotes tumor cell invasion and metastasis, as well as metastatic recurrence. Mutations in this gene cause Saethre-Chotzen syndrome in human patients, which is characterized by craniosynostosis, ptosis and hypertelorism.
Purification Method
Affinity purification
Gene ID
7291
RRID
AB_2763001
Buffer Information
Store at -20℃. Avoid freeze / thaw cycles. Buffer: PBS containing 50% glycerol, preserved with proclin300 or sodium azide, pH 7.3.
Western blot analysis of various lysates using Twist Rabbit pAb (CAB15596) at 1:1000 dilution. Secondary antibody: HRP-conjugated Goat anti-Rabbit IgG (H+L) (CABS014) at 1:10000 dilution. Lysates/proteins: 25μg per lane. Blocking buffer: 3% nonfat dry milk in TBST. Detection: ECL Basic Kit (AbGn00020). Exposure time: 30s.
Immunohistochemistry analysis of paraffin-embedded Rat liver using Twist Rabbit pAb (CAB15596) at dilution of 1:200 (40x lens). High pressure antigen retrieval performed with 0.01M Citrate buffer (pH 6.0) prior to IHC staining.
Immunohistochemistry analysis of paraffin-embedded Mouse lung using Twist Rabbit pAb (CAB15596) at dilution of 1:200 (40x lens). High pressure antigen retrieval performed with 0.01M Citrate buffer (pH 6.0) prior to IHC staining.
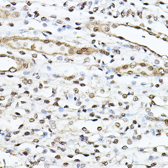
Immunohistochemistry analysis of paraffin-embedded Rat kidney using Twist Rabbit pAb (CAB15596) at dilution of 1:100 (40x lens). High pressure antigen retrieval performed with 0.01M Citrate buffer (pH 6.0) prior to IHC staining.