The [KO Validated] SIRT1 Antibody (CAB11267) is a high-quality antibody developed for reliable detection and analysis of target proteins. This antibody, produced through rabbit immunization, demonstrates high reactivity with human samples and is suitable for use in Western blot applications. By binding specifically to the SIRT1 protein, researchers can accurately detect and study its expression in various cell types.SIRT1, a member of the sirtuin family of proteins, plays a key role in regulating cellular processes such as DNA repair, gene expression, and metabolism. Its functions are implicated in various diseases, including cancer, neurodegenerative disorders, and aging-related conditions.
This antibody is validated for use in WB, IHC-P, ELISA applications and has demonstrated reactivity against Human, Mouse, Rat samples.
Product Name:
[KO Validated] SIRT1 Antibody
SKU:
CAB11267
Size:
20μL, 100μL
Reactivity:
Human, Mouse, Rat
Conjugate:
Unconjugated
Immunogen:
Synthetic peptide. This information is considered to be commercially sensitive.
This gene encodes a member of the sirtuin family of proteins, homologs to the yeast Sir2 protein. Members of the sirtuin family are characterized by a sirtuin core domain and grouped into four classes. The functions of human sirtuins have not yet been determined; however, yeast sirtuin proteins are known to regulate epigenetic gene silencing and suppress recombination of rDNA. Studies suggest that the human sirtuins may function as intracellular regulatory proteins with mono-ADP-ribosyltransferase activity. The protein encoded by this gene is included in class I of the sirtuin family. Alternative splicing results in multiple transcript variants.
Purification Method
Affinity purification
Gene ID
23411
RRID
AB_2861537
Buffer Information
Store at -20℃. Avoid freeze / thaw cycles. Buffer: PBS containing 50% glycerol, preserved with proclin300 or sodium azide, pH 7.3.
Western blot analysis of various lysates, using SIRT1 Rabbit pAb (CAB11267) at 1:2000 dilution. Secondary antibody: HRP-conjugated Goat anti-Rabbit IgG (H+L) (CABS014) at 1:10000 dilution. Lysates/proteins: 25μg per lane. Blocking buffer: 3% nonfat dry milk in TBST. Detection: ECL Basic Kit (AbGn00020). Exposure time: 30s.
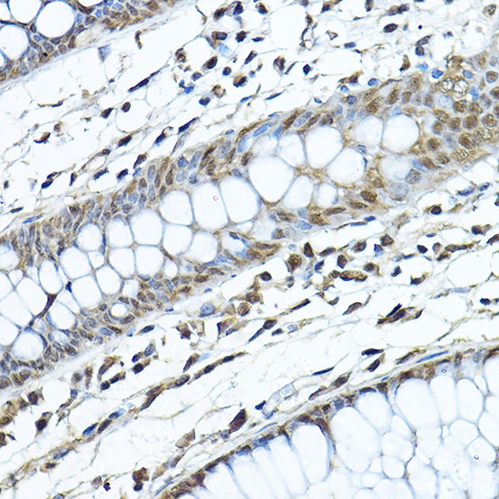
Immunohistochemistry analysis of paraffin-embedded Human colon using SIRT1 Rabbit pAb (CAB11267) at dilution of 1:200 (40x lens). High pressure antigen retrieval performed with 0.01M Citrate buffer (pH 6.0) prior to IHC staining.