The [KO Validated] SGTA Antibody (CAB7306) is a high-quality antibody developed for reliable detection and analysis of target proteins. This antibody, generated in rabbits, demonstrates high specificity and sensitivity towards human samples, making it a reliable choice for Western blot applications. By targeting the SGTA protein, this antibody allows for precise detection and analysis in a variety of cell types, making it an ideal option for investigations in the fields of molecular biology and protein research.SGTA, or small glutamine-rich tetratricopeptide repeat-containing protein alpha, is essential for maintaining proper protein folding and stability, as well as coordinating protein-protein interactions within cells.
This antibody is validated for use in WB, IF/ICC, ELISA applications and has demonstrated reactivity against Human samples.
Product Name:
[KO Validated] SGTA Antibody
SKU:
CAB7306
Size:
20μL, 100μL
Reactivity:
Human
Conjugate:
Unconjugated
Immunogen:
Recombinant protein (or fragment).This information is considered to be commercially sensitive.
Recommended starting concentration is 1 μg/mL. Please optimize the concentration based on your specific assay requirements.
Synonyms:
SGT, Vpu, SGT1, hSGT, alphaSGT, SGTA
Positive Sample:
HeLa, A-549, U-251MG
Cellular Localization:
Cytoplasm, Cytosol, Nucleus.
Calculated MW:
34kDa
Observed MW:
38kDa
This gene encodes a protein which is capable of interacting with the major nonstructural protein of parvovirus H-1 and 70-kDa heat shock cognate protein; however, its function is not known. Since this transcript is expressed ubiquitously in various tissues, this protein may serve a housekeeping function.
Purification Method
Affinity purification
Gene ID
6449
RRID
AB_2863550
Buffer Information
Store at -20℃. Avoid freeze / thaw cycles. Buffer: PBS containing 50% glycerol, preserved with proclin300 or sodium azide, pH 7.3.
Western blot analysis of various lysates using SGTA Rabbit pAb (CAB7306) at 1:1000 dilution. Secondary antibody: HRP-conjugated Goat anti-Rabbit IgG (H+L) (CABS014) at 1:10000 dilution. Lysates/proteins: 25μg per lane. Blocking buffer: 3% nonfat dry milk in TBST. Detection: ECL Basic Kit (AbGn00020). Exposure time: 90s.
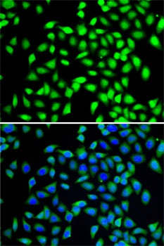
Immunofluorescence analysis of A-549 cells using SGTA Rabbit pAb (CAB7306). Secondary antibody: Cy3-conjugated Goat anti-Rabbit IgG (H+L) (CABS007) at 1:500 dilution. Blue: DAPI for nuclear staining.