null

Cytokeratin 5 (KRT5) Rabbit Polyclonal Antibody (CAB2662)

(No reviews yet) Write a Review
SKU:
CAB2662
Product Type:
Antibody
Antibody Type:
Polyclonal Antibody
Reactivity:
Human Mouse
Host Species:
Rabbit
Synonyms:
K5 CK5 DDD DDD1 EBS1 EBS2 EBS2A EBS2B EBS2C EBS2D EBS2E EBS2F KRT5A Cytokeratin 5 (KRT5)
  • Cell Biology Antibodies 8 Anti-KRT5 Antibody CAB2662
  • Cell Biology Antibodies 8 Anti-KRT5 Antibody CAB2662
  • Cell Biology Antibodies 8 Anti-KRT5 Antibody CAB2662
  • Cell Biology Antibodies 8 Anti-KRT5 Antibody CAB2662
$127 - $488
Frequently bought together:

Description

system_update_altDatasheetsystem_update_altMSDS

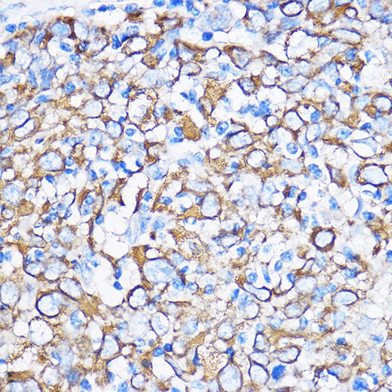
Cytokeratin 5 (KRT5) Antibody (CAB2662)

The Cytokeratin 5 (KRT5) Antibody (CAB2662) is a high-quality antibody developed for reliable detection and analysis of target proteins. The protein encoded by this gene is a member of the keratin gene family. The type II cytokeratins consist of basic or neutral proteins which are arranged in pairs of heterotypic keratin chains coexpressed during differentiation of simple and stratified epithelial tissues. This type II cytokeratin is specifically expressed in the basal layer of the epidermis with family member KRT14. Mutations in these genes have been associated with a complex of diseases termed epidermolysis bullosa simplex. The type II cytokeratins are clustered in a region of chromosome 12q12-q13.

This antibody is validated for use in WB, IHC-P, IF/ICC, IP, ELISA applications and has demonstrated reactivity against Human, Mouse samples.

0 Reviews

View AllClose