Description
KRT81 Antibody (CAB3940)
The KRT81 Antibody (CAB3940) is a high-quality antibody developed for reliable detection and analysis of target proteins. This antibody, produced in rabbits, exhibits high reactivity with human samples and has been rigorously validated for use in applications such as Western blotting.KRT81 is involved in the structural integrity of hair follicles and plays a role in hair growth and maintenance. Aberrant expression or mutations in KRT81 have been linked to various hair disorders, making it a promising target for research in dermatology and trichology.
This antibody is validated for use in WB, ELISA applications and has demonstrated reactivity against Human, Mouse samples.
| Product Name: | KRT81 Antibody |
| SKU: | CAB3940 |
| Size: | 20μL, 100μL |
| Reactivity: | Human, Mouse |
| Conjugate: | Unconjugated |
| Immunogen: | Synthetic peptide. This information is considered to be commercially sensitive. | ||||
| Sequence: | VAQS EQQG EAAL SDAR CKLA ELEG ALQK AKQD MACL IREY QEVM NSKL GLDI EIAT YRRL LEGE EQRL CEGI GAVN VCVS SSRG GVVC GDLC VSGS RPVT G | ||||
| Tested Applications: | WB ELISA | ||||
| Recommended Dilution: |
| ||||
| Synonyms: | HB1, K81, Hb-1, KRTHB1, MLN137, ghHkb1, hHAKB2-1, KRT81 |
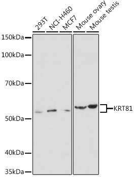
| Positive Sample: | 293T, NCI-H460, MCF7, Mouse ovary, Mouse testis |
| Cellular Localization: | Cytosol, Extracellular Space. |
| Calculated MW: | 55kDa |
| Observed MW: | 55kDa |
The protein encoded by this gene is a member of the keratin gene family. As a type II hair keratin, it is a basic protein which heterodimerizes with type I keratins to form hair and nails. The type II hair keratins are clustered in a region of chromosome 12q13 and are grouped into two distinct subfamilies based on structure similarity. One subfamily, consisting of KRTHB1, KRTHB3, and KRTHB6, is highly related. The other less-related subfamily includes KRTHB2, KRTHB4, and KRTHB5. All hair keratins are expressed in the hair follicle; this hair keratin, as well as KRTHB3 and KRTHB6, is found primarily in the hair cortex. Mutations in this gene and KRTHB6 have been observed in patients with a rare dominant hair disease, monilethrix.
| Purification Method | Affinity purification |
| Gene ID | 3887 |
| RRID | AB_2765400 |
| Buffer Information | Store at -20℃. Avoid freeze / thaw cycles. Buffer: PBS with 0.01% thimerosal,50% glycerol,pH7.3. |
