The LAPTM4B Antibody (CAB10761) is a high-quality antibody developed for reliable detection and analysis of target proteins. This antibody, generated in rabbits, exhibits high reactivity with human samples and has been validated for use in Western blot applications. By binding to LAPTM4B, the antibody enables the detection and analysis of this protein in various cell types, making it an ideal choice for studies in oncology and cancer biology.LAPTM4B is known to play a crucial role in regulating cancer cell proliferation, invasion, and metastasis, making it a promising target for cancer research and therapeutic development.
This antibody is validated for use in WB, ELISA applications and has demonstrated reactivity against Human, Mouse, Rat samples.
Product Name:
LAPTM4B Antibody
SKU:
CAB10761
Size:
20μL, 100μL
Reactivity:
Human, Mouse, Rat
Conjugate:
Unconjugated
Immunogen:
Recombinant protein (or fragment).This information is considered to be commercially sensitive.
Recommended starting concentration is 1 μg/mL. Please optimize the concentration based on your specific assay requirements.
Synonyms:
LC27, LAPTM4beta, LAPTM4B
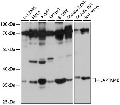
Positive Sample:
U-87MG, HeLa, A-549, SKOV3, B cells, Mouse brain, Mouse eye, Rat ovary
Cellular Localization:
Endomembrane System, Multi-Pass Membrane Protein.
Calculated MW:
35kDa
Observed MW:
37kDa
Enables ceramide binding activity; enzyme binding activity; and phosphatidylinositol bisphosphate binding activity. Involved in several processes, including negative regulation of macromolecule metabolic process; regulation of lysosomal membrane permeability; and regulation of lysosome organization. Located in several cellular components, including endosome; lysosomal membrane; and plasma membrane.
Purification Method
Affinity purification
Gene ID
55353
RRID
AB_2758204
Buffer Information
Store at -20℃. Avoid freeze / thaw cycles. Buffer: PBS with 0.01% thimerosal,50% glycerol,pH7.3.
Western blot analysis of various lysates using LAPTM4B Rabbit pAb (CAB10761) at 1:1000 dilution. Secondary antibody: HRP-conjugated Goat anti-Rabbit IgG (H+L) (CABS014) at 1:10000 dilution. Lysates/proteins: 25μg per lane. Blocking buffer: 3% nonfat dry milk in TBST. Detection: ECL Basic Kit (AbGn00020). Exposure time: 10s.