The LEXM Antibody (PAC050618) is a high-quality polyclonal antibody designed for research involving LEXM, a protein associated with immune regulation and inflammation. This antibody, generated in rabbits, is highly reactive with human samples and has been validated for use in Western blot applications. By binding to the LEXM protein, this antibody enables the detection and analysis of LEXM in various cell types, making it a valuable tool for studies in immunology and inflammation-related research.LEXM, also known as an immune regulator, plays a crucial role in immune response modulation by regulating inflammation and immune activation.
Its involvement in immune system regulation makes it a promising target for research into diseases such as autoimmune disorders, chronic inflammatory conditions, and cancer. By studying the function of LEXM, researchers can gain further insights into immune regulation and potentially develop new therapeutic strategies for treating immune-related diseases.Overall, the LEXM Antibody (PAC050618) is a reliable tool for investigating the role of LEXM in immune regulation and inflammation, providing valuable insights for researchers in the fields of immunology and disease biology.
Western Blot. Positive WB detected in: Rat heart tissue, Rat skeletal muscle tissue. All lanes: LEXM antibody at 4µg/ml. Secondary. Goat polyclonal to rabbit IgG at 1/50000 dilution. Predicted band size: 48 kDa. Observed band size: 48 kDa..
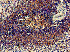
Immunohistochemistry of paraffin-embedded human lymph node tissue using PACO50618 at dilution of 1:100.
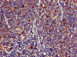
Immunohistochemistry of paraffin-embedded human spleen tissue using PACO50618 at dilution of 1:100.
Background:
May have on role on T-cell metabolism however these data are controversial.
Synonyms:
Lymphocyte expansion molecule, LEXM, LEM
UniProt Protein Function:
LEXM: 2 isoforms of the human protein are produced by alternative splicing.Protein type: Unknown functionChromosomal Location of Human Ortholog: 1p32.3Cellular Component: mitochondrion