The LOX Monoclonal Antibody (CAB11504) is a high-quality antibody developed for reliable detection and analysis of target proteins. This antibody, developed using cutting-edge technology, allows for precise detection and analysis of LOX protein levels in various cell types and tissues.LOX plays a crucial role in tissue remodeling, wound healing, and cancer progression. Dysregulation of LOX expression has been implicated in various diseases, including fibrosis, cardiovascular diseases, and cancer. The ability to accurately measure LOX levels using this monoclonal antibody provides researchers with a powerful tool for investigating the role of LOX in disease pathogenesis and developing targeted therapies.
This antibody is validated for use in WB, IHC-P, IP, ELISA applications and has demonstrated reactivity against Human, Mouse, Rat samples.
Product Name:
LOX Monoclonal Antibody
SKU:
CAB11504
Size:
20μL, 100μL
Reactivity:
Human, Mouse, Rat
Clone Number:
ARC0624
Conjugate:
Unconjugated
Immunogen:
Synthetic peptide. This information is considered to be commercially sensitive.
0.5μg-4μg antibody for 200μg-400μg extracts of whole cells
ELISA
Recommended starting concentration is 1 μg/mL. Please optimize the concentration based on your specific assay requirements.
Synonyms:
AAT10, LOX
Positive Sample:
293T, A549, Jurkat, Mouse lung, Rat lung, Rat spleen
Cellular Localization:
Secreted, Extracellular Space.
Calculated MW:
47kDa
Observed MW:
56kDa
This gene encodes a member of the lysyl oxidase family of proteins. Alternative splicing results in multiple transcript variants, at least one of which encodes a preproprotein that is proteolytically processed to generate a regulatory propeptide and the mature enzyme. The copper-dependent amine oxidase activity of this enzyme functions in the crosslinking of collagens and elastin, while the propeptide may play a role in tumor suppression. In addition, defects in this gene have been linked with predisposition to thoracic aortic aneurysms and dissections.
Purification Method
Affinity purification
Gene ID
4015
RRID
AB_2861586
Buffer Information
Store at -20℃. Avoid freeze / thaw cycles. Buffer: PBS containing 50% glycerol and 0.05% BSA, preserved with proclin300 or sodium azide, pH 7.3.
Western blot analysis of various lysates using LOX Rabbit mAb (CAB11504) at 1:1000 dilution. Secondary antibody: HRP-conjugated Goat anti-Rabbit IgG (H+L) (CABS014) at 1:10000 dilution. Lysates/proteins: 25μg per lane. Blocking buffer: 3% nonfat dry milk in TBST. Detection: ECL Basic Kit (AbGn00020). Exposure time: 1s.
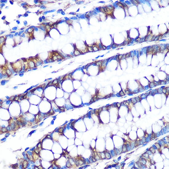
Immunohistochemistry analysis of paraffin-embedded Human colon using LOX Rabbit mAb (CAB11504) at dilution of 1:100 (40x lens). Microwave antigen retrieval performed with 0.01M PBS Buffer (pH 7.2) prior to IHC staining.
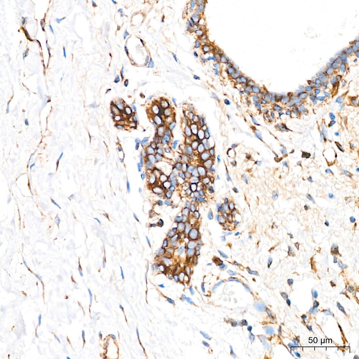
Immunohistochemistry analysis of paraffin-embedded Human breast tissue using LOX Rabbit mAb (CAB11504) at a dilution of 1:200 (40x lens). High pressure antigen retrieval performed with 0.01M Citrate buffer (pH 6.0) prior to IHC staining.
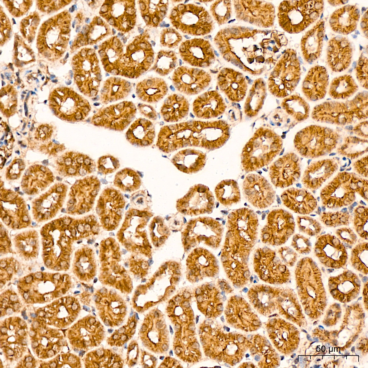
Immunohistochemistry analysis of paraffin-embedded Mouse kidney tissue using LOX Rabbit mAb (CAB11504) at a dilution of 1:200 (40x lens). High pressure antigen retrieval performed with 0.01M Citrate buffer (pH 6.0) prior to IHC staining.
Immunoprecipitation analysis of 300 μg extracts of Jurkat cells using 3 μg LOX antibody (CAB11504). Western blot was performed from the immunoprecipitate using LOX antibody (CAB11504) at a dilution of 1:1000.