The LSM11 Antibody (CAB7516) is a high-quality antibody developed for reliable detection and analysis of target proteins. Designed for use in various experimental techniques such as Western blotting, this antibody is raised in rabbits and exhibits high reactivity with human samples. By specifically binding to the LSM11 protein, researchers can accurately detect and analyze its expression in different cell types, making it an essential component for studies in molecular biology and gene regulation.
This antibody is validated for use in WB, ELISA applications and has demonstrated reactivity against Human, Rat samples.
Product Name:
LSM11 Antibody
SKU:
CAB7516
Size:
20μL, 100μL
Reactivity:
Human, Rat
Conjugate:
Unconjugated
Immunogen:
Recombinant protein (or fragment).This information is considered to be commercially sensitive.
Recommended starting concentration is 1 μg/mL. Please optimize the concentration based on your specific assay requirements.
Synonyms:
AGS8, LSM11
Positive Sample:
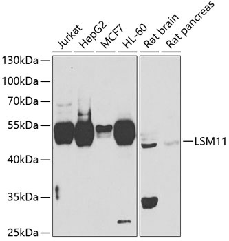
Jurkat, HepG2, MCF7, HL-60, Rat brain, Rat pancreas
Cellular Localization:
Nucleus.
Calculated MW:
40kDa
Observed MW:
45kDa
Enables U7 snRNA binding activity. Involved in positive regulation of G1/S transition of mitotic cell cycle. Located in nuclear body. Part of U7 snRNP and telomerase holoenzyme complex. Implicated in Aicardi-Goutieres syndrome.
Purification Method
Affinity purification
Gene ID
134353
RRID
AB_2768046
Buffer Information
Store at -20℃. Avoid freeze / thaw cycles. Buffer: PBS containing 50% glycerol, preserved with proclin300 or sodium azide, pH 7.3.
Western blot analysis of various lysates using LSM11 Rabbit pAb (CAB7516) at 1:1000 dilution. Secondary antibody: HRP-conjugated Goat anti-Rabbit IgG (H+L) (CABS014) at 1:10000 dilution. Lysates/proteins: 25μg per lane. Blocking buffer: 3% nonfat dry milk in TBST. Detection: ECL Basic Kit (AbGn00020). Exposure time: 10s.