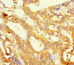
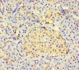
LYG2 Antibody is a premium polyclonal that offers outstanding performance and reliability for demanding research applications. Rigorously validated for ELISA, IHC, this antibody ensures consistent, reproducible results across multiple experimental platforms. Demonstrates excellent reactivity with Human samples, providing researchers with confidence in cross-species compatibility. Conveniently packaged in 50ug format to meet your experimental needs. For optimal performance, store at -20°C or -80°C and maintains stability for 12 months. Backed by rigorous quality control testing to ensure superior performance in your critical research applications.
Product Name:
LYG2 Antibody
SKU:
PACO37402
Size:
50μg
Isotype:
IgG
Host Species:
Rabbit
Reactivity:
Human
Immunogen:
Recombinant Human Lysozyme g-like protein 2 protein (20-212AA)
Immunogen Species:
Homo sapiens (Human)
Uniprot No:
Q86SG7
Form:
Liquid
Tested Applications:
ELISAIHC
Recommended Dilution:
Application
Recommended Dilution
IHC
1:20-1:200
Synonyms:
LYG 2 antibody, Lyg2 antibody, LYG2_HUMAN antibody, LYGH antibody, Lysozyme G like 2 antibody, Lysozyme g like protein 2 antibody, Lysozyme g-like protein 2 antibody, Lysozyme like antibody, MGC119046 antibody, MGC119047 antibody, MGC119049 antibody