The LZTS2 Antibody (CAB14598) is a high-quality antibody developed for reliable detection and analysis of target proteins. This antibody, generated in rabbits, is highly specific for human samples and has been validated for use in various applications, including Western blot and immunohistochemistry.LZTS2, also known as leucine zipper putative tumor suppressor 2, is recognized for its role in promoting cell cycle arrest and apoptosis, thereby suppressing tumor growth and metastasis.
This antibody is validated for use in WB, ELISA applications and has demonstrated reactivity against Human, Mouse, Rat samples.
Product Name:
LZTS2 Antibody
SKU:
CAB14598
Size:
20μL, 100μL
Reactivity:
Human, Mouse, Rat
Conjugate:
Unconjugated
Immunogen:
Recombinant protein (or fragment).This information is considered to be commercially sensitive.
The protein encoded by this gene belongs to the leucine zipper tumor suppressor family of proteins, which function in transcription regulation and cell cycle control. This family member can repress beta-catenin-mediated transcriptional activation and is a negative regulator of the Wnt signaling pathway. It negatively regulates microtubule severing at centrosomes, and is necessary for central spindle formation and cytokinesis completion. It is implicated in cancer, where it may inhibit cell proliferation and decrease susceptibility to tumor development. Alternative splicing of this gene results in multiple transcript variants.
Purification Method
Affinity purification
Gene ID
84445
RRID
AB_2761473
Buffer Information
Store at -20℃. Avoid freeze / thaw cycles. Buffer: PBS with 0.01% thimerosal,50% glycerol,pH7.3.
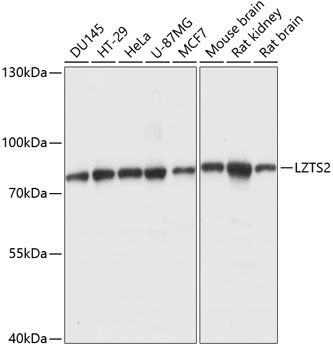
Western blot analysis of various lysates using LZTS2 Rabbit pAb (CAB14598) at 1:1000 dilution. Secondary antibody: HRP-conjugated Goat anti-Rabbit IgG (H+L) (CABS014) at 1:10000 dilution. Lysates/proteins: 25μg per lane. Blocking buffer: 3% nonfat dry milk in TBST. Detection: ECL Basic Kit (AbGn00020). Exposure time: 5s.