The MAK Antibody (CAB17508) is a high-quality antibody developed for reliable detection and analysis of target proteins. This rabbit-derived antibody is highly reactive with human samples and has been validated for use in Western blot applications. By binding to the MAK protein, this antibody enables precise detection and analysis in a variety of cell types, making it an invaluable tool for studies in cell biology and cancer research.
This antibody is validated for use in WB, IHC-P, ELISA applications and has demonstrated reactivity against Human, Mouse, Rat samples.
Product Name:
MAK Antibody
SKU:
CAB17508
Size:
20μL, 100μL
Reactivity:
Human, Mouse, Rat
Conjugate:
Unconjugated
Immunogen:
Recombinant protein (or fragment).This information is considered to be commercially sensitive.
The product of this gene is a serine/threonine protein kinase related to kinases involved in cell cycle regulation. Studies of the mouse and rat homologs have localized the kinase to the chromosomes during meiosis in spermatogenesis, specifically to the synaptonemal complex that exists while homologous chromosomes are paired. Mutations in this gene have been associated with ciliary defects resulting in retinitis pigmentosa 62. Alternative splicing results in multiple transcript variants.
Purification Method
Affinity purification
Gene ID
4117
RRID
AB_2770252
Buffer Information
Store at -20℃. Avoid freeze / thaw cycles. Buffer: PBS with 0.01% thimerosal,50% glycerol,pH7.3.
Western blot analysis of various lysates using MAK Rabbit pAb (CAB17508) at 1:1000 dilution. Secondary antibody: HRP-conjugated Goat anti-Rabbit IgG (H+L) (CABS014) at 1:10000 dilution. Lysates/proteins: 25μg per lane. Blocking buffer: 3% nonfat dry milk in TBST. Detection: ECL Basic Kit (AbGn00020). Exposure time: 90s.
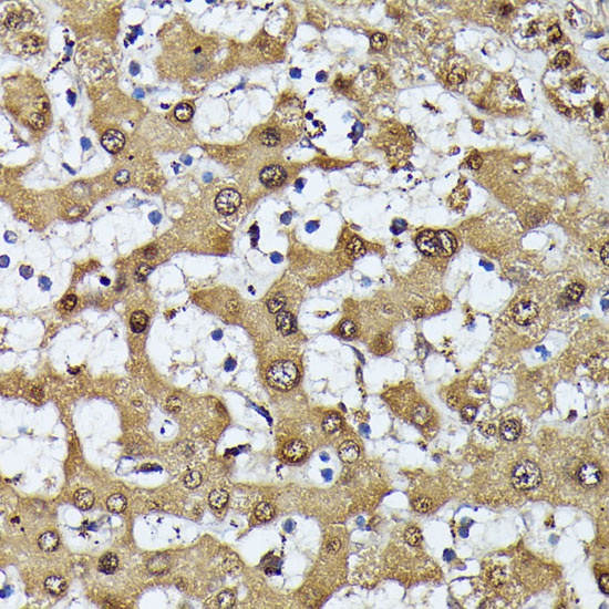
Immunohistochemistry analysis of paraffin-embedded Human liver using MAK Rabbit pAb (CAB17508) at dilution of 1:100 (40x lens). Microwave antigen retrieval performed with 0.01M PBS Buffer (pH 7.2) prior to IHC staining.
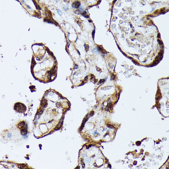
Immunohistochemistry analysis of paraffin-embedded Human placenta using MAK Rabbit pAb (CAB17508) at dilution of 1:100 (40x lens). Microwave antigen retrieval performed with 0.01M PBS Buffer (pH 7.2) prior to IHC staining.