The MAP4K3 Antibody (CAB7351) is a high-quality antibody developed for reliable detection and analysis of target proteins. This antibody, produced in rabbits, exhibits high specificity for human samples and has been validated for use in Western blot applications.MAP4K3, a member of the mitogen-activated protein kinase kinase kinase kinase (MAP4K) family, is known to play a critical role in regulating various cellular processes, including cell proliferation, migration, and survival.
This antibody is validated for use in WB, ELISA applications and has demonstrated reactivity against Human, Mouse, Rat samples.
Product Name:
MAP4K3 Antibody
SKU:
CAB7351
Size:
20μL, 100μL
Reactivity:
Human, Mouse, Rat
Conjugate:
Unconjugated
Immunogen:
Recombinant protein (or fragment).This information is considered to be commercially sensitive.
Recommended starting concentration is 1 μg/mL. Please optimize the concentration based on your specific assay requirements.
Synonyms:
GLK, MEKKK3, MEKKK 3, MAPKKKK3, RAB8IPL1, MAP4K3
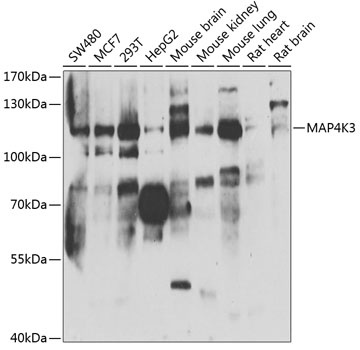
Positive Sample:
SW480, MCF7, 293T, HepG2, Mouse brain, Mouse kidney, Mouse lung, Rat heart, Rat brain
Cellular Localization:
Cytoplasm.
Calculated MW:
101kDa
Observed MW:
110kDa
This gene encodes a member of the mitogen-activated protein kinase kinase kinase kinase family. The encoded protein activates key effectors in cell signalling, among them c-Jun. Alternatively spliced transcripts encoding multiple isoforms have been observed for this gene.
Purification Method
Affinity purification
Gene ID
8491
RRID
AB_2767888
Buffer Information
Store at -20℃. Avoid freeze / thaw cycles. Buffer: PBS containing 50% glycerol, preserved with proclin300 or sodium azide, pH 7.3.
Western blot analysis of various lysates using MAP4K3 Rabbit pAb (CAB7351) at 1:1000 dilution. Secondary antibody: HRP-conjugated Goat anti-Rabbit IgG (H+L) (CABS014) at 1:10000 dilution. Lysates/proteins: 25μg per lane. Blocking buffer: 3% nonfat dry milk in TBST. Detection: ECL Basic Kit (AbGn00020). Exposure time: 90s.