The MAPK1/MAPK3 Antibody (CAB17291) is a high-quality antibody developed for reliable detection and analysis of target proteins. This antibody is raised in rabbits and highly reactive with human samples, making it an excellent choice for Western blot applications.MAPK1 and MAPK3, also known as ERK2 and ERK1, are key components of the MAPK signaling pathway that is involved in a wide range of cellular functions. Activation of this pathway has been linked to various diseases, including cancer, cardiovascular diseases, and neurodegenerative disorders. By targeting MAPK1 and MAPK3 with this antibody, researchers can investigate their role in disease pathology and potentially develop new therapeutic strategies.
This antibody is validated for use in WB, IHC-P, ELISA applications and has demonstrated reactivity against Human, Mouse, Rat samples.
Product Name:
MAPK1/MAPK3 Antibody
SKU:
CAB17291
Size:
20μL, 100μL
Reactivity:
Human, Mouse, Rat
Immunogen:
Synthetic peptide. This information is considered to be commercially sensitive.
Recommended starting concentration is 1 μg/mL. Please optimize the concentration based on your specific assay requirements.
Synonyms:
MAPK1/MAPK3
Positive Sample:
293T, NIH/3T3
Cellular Localization:
Caveola, Cytoplasm, Cytoskeleton, Cytosol, Early Endosome, Endoplasmic Reticulum Lumen, Extracellular Region, Focal Adhesion, Golgi Apparatus, Late Endosome, Microtubule Organizing Center, Mitochondrion, Mitotic Spindle, Nucleoplasm, Nucleus, Plasma Membrane.
Calculated MW:
36kDa/41kDa/38kDa/40kDa/43kDa
Observed MW:
44kDa
MAP kinases, also known as extracellular signal-regulated kinases (ERKs), act as an integration point for multiple biochemical signals, and are involved in a wide variety of cellular processes such as proliferation, differentiation, transcription regulation and development. The activation of this kinase requires its phosphorylation by upstream kinases. Upon activation, this kinase translocates to the nucleus of the stimulated cells, where it phosphorylates nuclear targets.
Purification Method
Affinity purification
Gene ID
5594 5595
RRID
AB_2770276
Buffer Information
Store at -20℃. Avoid freeze / thaw cycles. Buffer: PBS containing 50% glycerol, preserved with proclin300 or sodium azide, pH 7.3.
Western blot analysis of various lysates using MAPK1/MAPK3 Rabbit pAb (CAB17291) at 1:1000 dilution. Secondary antibody: HRP-conjugated Goat anti-Rabbit IgG (H+L) (CABS014) at 1:10000 dilution. Lysates/proteins: 25μg per lane. Blocking buffer: 3% nonfat dry milk in TBST. Detection: ECL Basic Kit (AbGn00020). Exposure time: 10s.
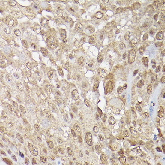
Immunohistochemistry analysis of paraffin-embedded Human urothelial carcinoma using MAPK1/MAPK3 Rabbit pAb (CAB17291) at dilution of 1:200 (40x lens). High pressure antigen retrieval performed with 0.01M Citrate buffer (pH 6.0) prior to IHC staining.
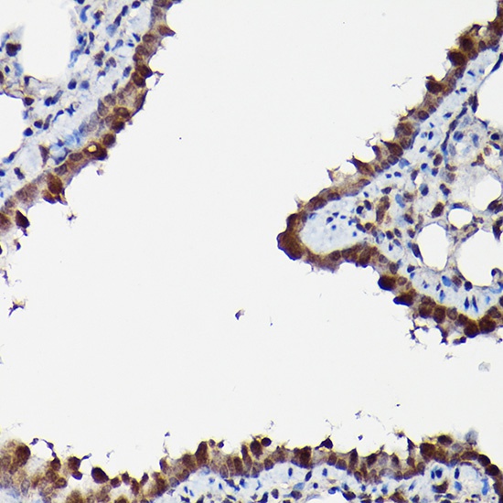
Immunohistochemistry analysis of paraffin-embedded Rat lung using MAPK1/MAPK3 Rabbit pAb (CAB17291) at dilution of 1:200 (40x lens). High pressure antigen retrieval performed with 0.01M Citrate buffer (pH 6.0) prior to IHC staining.