The MAPK12 Antibody (CAB13046) is a high-quality antibody developed for reliable detection and analysis of target proteins. This antibody, produced in rabbits, is highly specific to human samples and has been validated for use in Western blot applications.MAPK12, also known as ERK6, is a member of the MAP kinase family and plays a crucial role in signal transduction pathways that are important for cell growth and survival. Dysregulation of MAPK12 has been implicated in various diseases, including cancer, inflammatory disorders, and neurodegenerative conditions.
This antibody is validated for use in WB, ELISA applications and has demonstrated reactivity against Human, Mouse, Rat samples.
Product Name:
MAPK12 Antibody
SKU:
CAB13046
Size:
20μL, 100μL
Reactivity:
Human, Mouse, Rat
Conjugate:
Unconjugated
Immunogen:
Recombinant protein (or fragment).This information is considered to be commercially sensitive.
Activation of members of the mitogen-activated protein kinase family is a major mechanism for transduction of extracellular signals. Stress-activated protein kinases are one subclass of MAP kinases. The protein encoded by this gene functions as a signal transducer during differentiation of myoblasts to myotubes.
Purification Method
Affinity purification
Gene ID
6300
RRID
AB_2759894
Buffer Information
Store at -20℃. Avoid freeze / thaw cycles. Buffer: PBS with 0.01% thimerosal,50% glycerol,pH7.3.
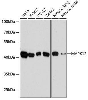
Western blot analysis of various lysates using MAPK12 Rabbit pAb (CAB13046) at 1:10000 dilution. Secondary antibody: HRP-conjugated Goat anti-Rabbit IgG (H+L) (CABS014) at 1:10000 dilution. Lysates/proteins: 25μg per lane. Blocking buffer: 3% nonfat dry milk in TBST. Detection: ECL Basic Kit (AbGn00020). Exposure time: 30s.