The MAT2A Antibody (CAB8436) is a high-quality antibody developed for reliable detection and analysis of target proteins. This antibody, produced in rabbits, exhibits strong reactivity with human samples and has been validated for use in applications such as Western blotting.MAT2A plays a critical role in methylation processes, which are involved in various cellular functions such as gene expression regulation and protein synthesis. Dysregulation of MAT2A has been linked to various diseases including cancer, liver disorders, and neurological conditions, making it a promising therapeutic target.
This antibody is validated for use in WB, ELISA applications and has demonstrated reactivity against Human, Mouse, Rat samples.
Product Name:
MAT2A Antibody
SKU:
CAB8436
Size:
20μL, 100μL
Reactivity:
Human, Mouse, Rat
Conjugate:
Unconjugated
Immunogen:
Recombinant protein (or fragment).This information is considered to be commercially sensitive.
Recommended starting concentration is 1 μg/mL. Please optimize the concentration based on your specific assay requirements.
Synonyms:
MATA2, MATII, SAMS2, MAT2A
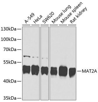
Positive Sample:
A-549, HeLa, SW620, Mouse lung, Mouse spleen, Rat kidney
Cellular Localization:
Cytosol.
Calculated MW:
44kDa
Observed MW:
44kDa
The protein encoded by this gene catalyzes the production of S-adenosylmethionine (AdoMet) from methionine and ATP. AdoMet is the key methyl donor in cellular processes.
Purification Method
Affinity purification
Gene ID
4144
RRID
AB_2770299
Buffer Information
Store at -20℃. Avoid freeze / thaw cycles. Buffer: PBS containing 50% glycerol, preserved with proclin300 or sodium azide, pH 7.3.
Western blot analysis of various lysates using MAT2A Rabbit pAb (CAB8436) at 1:1000 dilution. Secondary antibody: HRP-conjugated Goat anti-Rabbit IgG (H+L) (CABS014) at 1:10000 dilution. Lysates/proteins: 25μg per lane. Blocking buffer: 3% nonfat dry milk in TBST. Detection: ECL Basic Kit (AbGn00020). Exposure time: 15s.