The Matrin 3 Antibody (CAB5905) is a high-quality antibody developed for reliable detection and analysis of target proteins. This antibody, produced in rabbits, exhibits high specificity and sensitivity in detecting MATR3 in human samples, making it ideal for various research applications such as Western blot and immunohistochemistry.MATR3 is a multifunctional protein that plays a key role in maintaining cellular homeostasis and gene expression. Dysregulation of MATR3 has been implicated in neurodegenerative diseases, muscular dystrophies, and cancer, highlighting its importance in various pathophysiological processes.
This antibody is validated for use in WB, IHC-P, IF/ICC, ELISA applications and has demonstrated reactivity against Human, Mouse, Rat samples.
Product Name:
Matrin 3 Antibody
SKU:
CAB5905
Size:
20μL, 100μL
Reactivity:
Human, Mouse, Rat
Conjugate:
Unconjugated
Immunogen:
Recombinant protein (or fragment).This information is considered to be commercially sensitive.
Sequence:
SSEN ADDP NKDT SENA DGQS DENK DDYT IPDE YRIG PYQP NVPV GIDY VIPK TGFY CKLC SLFY TNEE VAKN THCS SLPH YQKL KKFL NKLA EERR QKKE T
Tested Applications:
WBIHC-PIF/ICCELISA
Recommended Dilution:
WB
1:500 - 1:1000
IHC-P
1:100 - 1:200
IF/ICC
1:50 - 1:200
ELISA
Recommended starting concentration is 1 μg/mL. Please optimize the concentration based on your specific assay requirements.
Synonyms:
MPD2, ALS21, VCPDM, Matrin 3
Positive Sample:
293T, HepG2, MCF7, K-562, NIH/3T3
Cellular Localization:
Nucleus Matrix.
Calculated MW:
95kDa
Observed MW:
125kDa
This gene encodes a nuclear matrix protein, which is proposed to stabilize certain messenger RNA species. Mutations of this gene are associated with distal myopathy 2, which often includes vocal cord and pharyngeal weakness. Alternatively spliced transcript variants, including read-through transcripts composed of the upstream small nucleolar RNA host gene 4 (non-protein coding) and matrin 3 gene sequence, have been identified. Pseudogenes of this gene are located on chromosomes 1 and X.
Purification Method
Affinity purification
Gene ID
9782
RRID
AB_2766651
Buffer Information
Store at -20℃. Avoid freeze / thaw cycles. Buffer: PBS with 0.01% thimerosal,50% glycerol,pH7.3.
Western blot analysis of various lysates using Matrin 3 Rabbit pAb (CAB5905) at 1:1000 dilution. Secondary antibody: HRP-conjugated Goat anti-Rabbit IgG (H+L) (CABS014) at 1:10000 dilution. Lysates/proteins: 25μg per lane. Blocking buffer: 3% nonfat dry milk in TBST. Detection: ECL Basic Kit (AbGn00020). Exposure time: 10s.
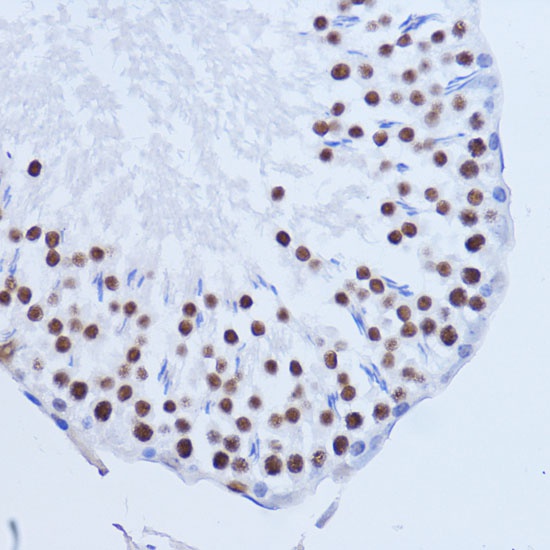
Immunohistochemistry analysis of paraffin-embedded Rat testis using Matrin 3 Rabbit pAb (CAB5905) at dilution of 1:100 (40x lens). Microwave antigen retrieval performed with 0.01M PBS Buffer (pH 7.2) prior to IHC staining.
Immunohistochemistry analysis of paraffin-embedded Mouse brain using Matrin 3 Rabbit pAb (CAB5905) at dilution of 1:100 (40x lens). Microwave antigen retrieval performed with 0.01M PBS Buffer (pH 7.2) prior to IHC staining.
Immunofluorescence analysis of C6 cells using Matrin 3 Rabbit pAb (CAB5905) at dilution of 1:100. Secondary antibody: Cy3-conjugated Goat anti-Rabbit IgG (H+L) (CABS007) at 1:500 dilution. Blue: DAPI for nuclear staining.
Immunofluorescence analysis of U-2 OS cells using Matrin 3 Rabbit pAb (CAB5905) at dilution of 1:100. Secondary antibody: Cy3-conjugated Goat anti-Rabbit IgG (H+L) (CABS007) at 1:500 dilution. Blue: DAPI for nuclear staining.