The MBL2 Antibody (CAB5825) is a high-quality antibody developed for reliable detection and analysis of target proteins. MBL2 is a key component of the innate immune system, playing a critical role in pathogen recognition and clearance. This antibody, raised in rabbits, is highly specific to human samples and is validated for use in Western blot applications.By binding to the MBL2 protein, this antibody allows for the detection and analysis of MBL2 in various cell types, providing valuable insights into its function in the immune response.
This antibody is validated for use in WB, IHC-P, ELISA applications and has demonstrated reactivity against Human, Mouse samples.
Product Name:
MBL2 Antibody
SKU:
CAB5825
Size:
20μL, 100μL
Reactivity:
Human, Mouse
Conjugate:
Unconjugated
Immunogen:
Recombinant protein (or fragment).This information is considered to be commercially sensitive.
This gene encodes the soluble mannose-binding lectin or mannose-binding protein found in serum. The protein encoded belongs to the collectin family and is an important element in the innate immune system. The protein recognizes and binds to mannose and N-acetylglucosamine on many microorganisms, including bacteria, yeast, and viruses including influenza virus, HIV and SARS-CoV. This binding activates the classical complement pathway. Deficiencies of this gene have been associated with susceptibility to autoimmune and infectious diseases.
Purification Method
Affinity purification
Gene ID
4153
RRID
AB_2766577
Buffer Information
Store at -20℃. Avoid freeze / thaw cycles. Buffer: PBS containing 50% glycerol, preserved with proclin300 or sodium azide, pH 7.3.
Western blot analysis of lysates from Mouse serum, using MBL2 Rabbit pAb (CAB5825) at 1:500 dilution. Secondary antibody: HRP-conjugated Goat anti-Rabbit IgG (H+L) (CABS014) at 1:10000 dilution. Lysates/proteins: 25μg per lane. Blocking buffer: 3% nonfat dry milk in TBST. Detection: ECL Basic Kit (AbGn00020). Exposure time: 180s.
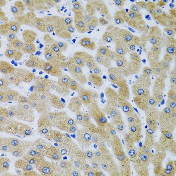
Immunohistochemistry analysis of paraffin-embedded Human liver using MBL2 Rabbit pAb (CAB5825) at dilution of 1:100 (40x lens). Microwave antigen retrieval performed with 0.01M PBS Buffer (pH 7.2) prior to IHC staining.
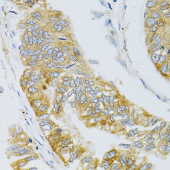
Immunohistochemistry analysis of paraffin-embedded Human gastric carcinoma using MBL2 Rabbit pAb (CAB5825) at dilution of 1:100 (40x lens). Microwave antigen retrieval performed with 0.01M PBS Buffer (pH 7.2) prior to IHC staining.
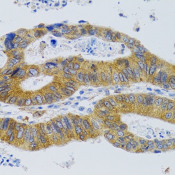
Immunohistochemistry analysis of paraffin-embedded Human colorectal cancer using MBL2 Rabbit pAb (CAB5825) at dilution of 1:100 (40x lens). Microwave antigen retrieval performed with 0.01M PBS Buffer (pH 7.2) prior to IHC staining.