The MCM5 Antibody (CAB5556) is a high-quality antibody developed for reliable detection and analysis of target proteins. MCM5 is a key protein involved in DNA replication and cell cycle progression, making it essential for maintaining genomic stability.Raised in rabbits, this antibody is highly reactive with human samples and has been validated for use in Western blot applications. By binding to the MCM5 protein, researchers can easily detect and analyze its expression in various cell types, aiding in studies related to DNA replication, cell division, and cancer research.
This antibody is validated for use in WB, IF/ICC, IP, ELISA applications and has demonstrated reactivity against Human, Mouse, Rat samples.
Product Name:
MCM5 Antibody
SKU:
CAB5556
Size:
20μL, 100μL
Reactivity:
Human, Mouse, Rat
Conjugate:
Unconjugated
Immunogen:
Recombinant protein (or fragment).This information is considered to be commercially sensitive.
0.5μg-4μg antibody for 200μg-400μg extracts of whole cells
ELISA
Recommended starting concentration is 1 μg/mL. Please optimize the concentration based on your specific assay requirements.
Synonyms:
CDC46, MGORS8, P1-CDC46, MCM5
Positive Sample:
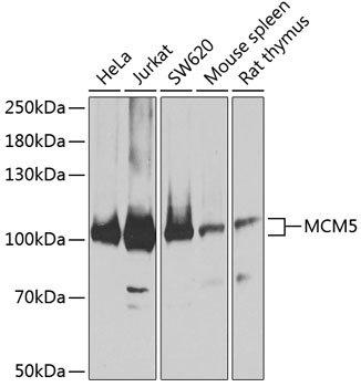
HeLa, Jurkat, SW620, Mouse spleen, Rat thymus
Cellular Localization:
Nucleus.
Calculated MW:
82kDa
Observed MW:
100kDa
The protein encoded by this gene is structurally very similar to the CDC46 protein from S. cerevisiae, a protein involved in the initiation of DNA replication. The encoded protein is a member of the MCM family of chromatin-binding proteins and can interact with at least two other members of this family. The encoded protein is upregulated in the transition from the G0 to G1/S phase of the cell cycle and may actively participate in cell cycle regulation.
Purification Method
Affinity purification
Gene ID
4174
RRID
AB_2766336
Buffer Information
Store at -20℃. Avoid freeze / thaw cycles. Buffer: PBS containing 50% glycerol, preserved with proclin300 or sodium azide, pH 7.3.
Western blot analysis of various lysates using MCM5 Rabbit pAb (CAB5556) at 1:3000 dilution. Secondary antibody: HRP-conjugated Goat anti-Rabbit IgG (H+L) (CABS014) at 1:10000 dilution. Lysates/proteins: 25μg per lane. Blocking buffer: 3% nonfat dry milk in TBST. Detection: ECL Basic Kit (AbGn00020). Exposure time: 30s.
Immunofluorescence analysis of U-2 OS cells using MCM5 Rabbit pAb (CAB5556) at dilution of 1:100 (40x lens). Secondary antibody: Cy3-conjugated Goat anti-Rabbit IgG (H+L) (CABS007) at 1:500 dilution. Blue: DAPI for nuclear staining.