The MDM2 Monoclonal Antibody (CAB23387) is a high-quality antibody developed for reliable detection and analysis of target proteins. This monoclonal antibody, produced in mice, is highly specific to human Mdm2 and has been validated for use in immunohistochemistry and Western blot applications.Mdm2 is a key player in the regulation of cell growth and division, and its overexpression has been implicated in various cancers. By targeting Mdm2 with this antibody, researchers can study its expression levels and localization in cancer cells, providing valuable insights into the mechanisms of tumorigenesis.
This antibody is validated for use in IHC-P, ELISA applications and has demonstrated reactivity against Human samples.
Product Name:
MDM2 Monoclonal Antibody
SKU:
CAB23387
Size:
20μL, 100μL
Reactivity:
Human
Clone Number:
ARC60294
Conjugate:
Unconjugated
Immunogen:
Synthetic peptide. This information is considered to be commercially sensitive.
Recommended starting concentration is 1 μg/mL. Please optimize the concentration based on your specific assay requirements.
Synonyms:
HDMX, LSKB, hdm2, ACTFS, MDM2
Cellular Localization:
Cytoplasm, Nucleus, Nucleolus, Nucleoplasm.
Calculated MW:
55kDa
Observed MW:
Refertofigures
This gene encodes a nuclear-localized E3 ubiquitin ligase. The encoded protein can promote tumor formation by targeting tumor suppressor proteins, such as p53, for proteasomal degradation. This gene is itself transcriptionally-regulated by p53. Overexpression or amplification of this locus is detected in a variety of different cancers. There is a pseudogene for this gene on chromosome 2. Alternative splicing results in a multitude of transcript variants, many of which may be expressed only in tumor cells.
Purification Method
Affinity purification
Gene ID
4193
Buffer Information
Store at -20℃. Avoid freeze / thaw cycles. Buffer: PBS containing 50% glycerol and 0.05% BSA, preserved with proclin300 or sodium azide, pH 7.3.
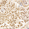
Immunohistochemistry analysis of paraffin-embedded Human lung squamous carcinoma tissue using MDM2 Rabbit mAb (CAB23387) at dilution of 1:100 (40x lens). High pressure antigen retrieval performed with 0.01M Citrate buffer (pH 6.0) prior to IHC staining.