The Phospho-MDM2-S166 Monoclonal Antibody (CABP1308) is a high-quality antibody developed for reliable detection and analysis of target proteins. This antibody, produced using advanced monoclonal antibody technology, is highly specific and sensitive for detecting phospho-MDM2 (S166) in human samples.MDM2 is a well-known negative regulator of the tumor suppressor protein p53, and its phosphorylation at serine 166 has been linked to increased MDM2 stability and enhanced p53 degradation, leading to dysregulation of the p53 pathway in cancer. The Phospho-MDM2 (S166) Monoclonal Antibody enables researchers to investigate the role of this phosphorylation event in cancer development and progression.
This antibody is validated for use in IHC-P, ELISA applications and has demonstrated reactivity against Human, Mouse, Rat samples.
Product Name:
Phospho-MDM2-S166 Monoclonal Antibody
SKU:
CABP1308
Size:
20μL, 100μL
Reactivity:
Human, Mouse, Rat
Clone Number:
ARC2909
Conjugate:
Unconjugated
Immunogen:
Synthetic peptide. This information is considered to be commercially sensitive.
Tested Applications:
IHC-PELISA
Recommended Dilution:
IHC-P
,1:20 - 1:200l
ELISA
, Recommended starting concentration is 1 μg/mL. Please optimize the concentration based on your specific assay requirements.
Synonyms:
HDMX, LSKB, hdm2, ACTFS, Phospho-MDM2-S166
Cellular Localization:
Cytoplasm, Nucleus, Nucleolus, Nucleoplasm.
Calculated MW:
55kDa
Observed MW:
Refertofigures
This gene encodes a nuclear-localized E3 ubiquitin ligase. The encoded protein can promote tumor formation by targeting tumor suppressor proteins, such as p53, for proteasomal degradation. This gene is itself transcriptionally-regulated by p53. Overexpression or amplification of this locus is detected in a variety of different cancers. There is a pseudogene for this gene on chromosome 2. Alternative splicing results in a multitude of transcript variants, many of which may be expressed only in tumor cells.
Purification Method
Affinity purification
Gene ID
4193
Buffer Information
Store at -20℃. Avoid freeze / thaw cycles. Buffer: PBS containing 50% glycerol and 0.05% BSA, preserved with proclin300 or sodium azide, pH 7.3.
Immunohistochemistry analysis of paraffin-embedded Human colon carcinoma using Phospho-MDM2-S166 Rabbit mAb (CABP1308) at dilution of 1:20 (40x lens). High pressure antigen retrieval performed with 0.01M Citrate buffer (pH 6.0) prior to IHC staining.
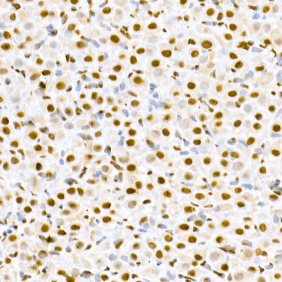
Immunohistochemistry analysis of paraffin-embedded Human liver cancer using Phospho-MDM2-S166 Rabbit mAb (CABP1308) at dilution of 1:20 (40x lens). High pressure antigen retrieval performed with 0.01M Citrate buffer (pH 6.0) prior to IHC staining.
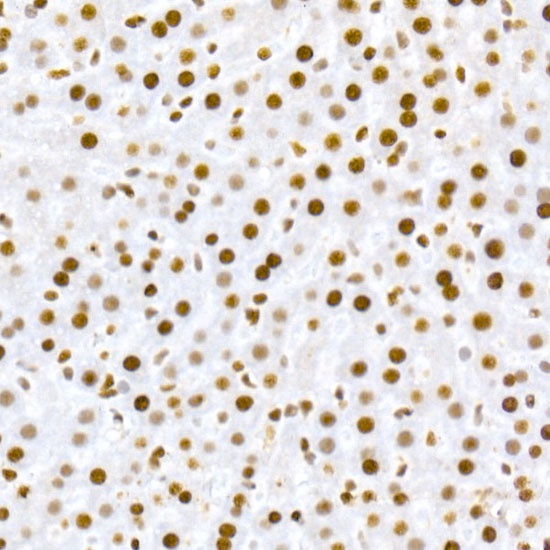
Immunohistochemistry analysis of paraffin-embedded Rat liver using Phospho-MDM2-S166 Rabbit mAb (CABP1308) at dilution of 1:20 (40x lens). High pressure antigen retrieval performed with 0.01M Citrate buffer (pH 6.0) prior to IHC staining.
Immunohistochemistry analysis of paraffin-embedded Rat ovary using Phospho-MDM2-S166 Rabbit mAb (CABP1308) at dilution of 1:20 (40x lens). High pressure antigen retrieval performed with 0.01M Citrate buffer (pH 6.0) prior to IHC staining.