The ME1 Antibody (CAB3956) is a high-quality antibody developed for reliable detection and analysis of target proteins. Raised in rabbits, this antibody is highly specific and reactive with human samples, making it an ideal choice for Western blot applications.ME1 is essential for the conversion of malate to pyruvate in the mitochondria, playing a crucial role in the TCA cycle and fatty acid synthesis. Dysregulation of ME1 has been implicated in various diseases, including cancer, diabetes, and metabolic disorders, making it a promising target for therapeutic intervention.
This antibody is validated for use in WB, ELISA applications and has demonstrated reactivity against Human, Mouse, Rat samples.
Product Name:
ME1 Antibody
SKU:
CAB3956
Size:
20μL, 100μL
Reactivity:
Human, Mouse, Rat
Conjugate:
Unconjugated
Immunogen:
Recombinant protein (or fragment).This information is considered to be commercially sensitive.
Recommended starting concentration is 1 μg/mL. Please optimize the concentration based on your specific assay requirements.
Synonyms:
MES, HUMNDME, ME1
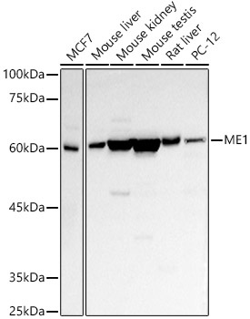
Positive Sample:
MCF7, Mouse liver, Mouse kidney, Mouse testis, Rat liver, PC-12
Cellular Localization:
Cytoplasm.
Calculated MW:
64kDa
Observed MW:
64kDa
This gene encodes a cytosolic, NADP-dependent enzyme that generates NADPH for fatty acid biosynthesis. The activity of this enzyme, the reversible oxidative decarboxylation of malate, links the glycolytic and citric acid cycles. The regulation of expression for this gene is complex. Increased expression can result from elevated levels of thyroid hormones or by higher proportions of carbohydrates in the diet.
Purification Method
Affinity purification
Gene ID
4199
RRID
AB_2765409
Buffer Information
Store at -20℃. Avoid freeze / thaw cycles. Buffer: PBS containing 50% glycerol, preserved with proclin300 or sodium azide, pH 7.3.
Western blot analysis of various lysates using ME1 Rabbit pAb (CAB3956) at 1:500 dilution. Secondary antibody: HRP-conjugated Goat anti-Rabbit IgG (H+L) (CABS014) at 1:10000 dilution. Lysates/proteins: 25μg per lane. Blocking buffer: 3% nonfat dry milk in TBST. Detection: ECL Basic Kit (AbGn00020). Exposure time: 30s.