The MED24 Antibody (CAB8059) is a high-quality antibody developed for reliable detection and analysis of target proteins. This antibody, generated in rabbits, is highly specific to human samples and has been extensively validated for use in Western blot applications. By binding to the MED24 protein, this antibody enables precise detection and analysis in a variety of cell types, making it an essential component for studies in molecular biology and cancer research.MED24, also known as mediator of RNA polymerase II transcription subunit 24, is involved in multiple cellular processes, including gene expression, cell proliferation, and DNA repair.
This antibody is validated for use in WB, ELISA applications and has demonstrated reactivity against Human, Mouse, Rat samples.
Product Name:
MED24 Antibody
SKU:
CAB8059
Size:
20μL, 100μL
Reactivity:
Human, Mouse, Rat
Conjugate:
Unconjugated
Immunogen:
Recombinant protein (or fragment).This information is considered to be commercially sensitive.
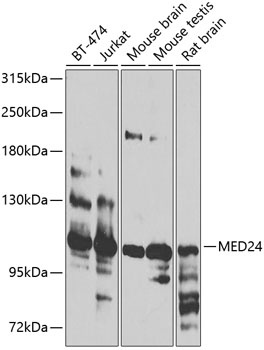
BT-474, Jurkat, Mouse brain, Mouse testis, Rat brain
Cellular Localization:
Nucleus.
Calculated MW:
110kDa
Observed MW:
110kDa
This gene encodes a component of the mediator complex (also known as TRAP, SMCC, DRIP, or ARC), a transcriptional coactivator complex thought to be required for the expression of almost all genes. The mediator complex is recruited by transcriptional activators or nuclear receptors to induce gene expression, possibly by interacting with RNA polymerase II and promoting the formation of a transcriptional pre-initiation complex. Multiple transcript variants encoding different isoforms have been found for this gene.
Purification Method
Affinity purification
Gene ID
9862
RRID
AB_2770330
Buffer Information
Store at -20℃. Avoid freeze / thaw cycles. Buffer: PBS containing 50% glycerol, preserved with proclin300 or sodium azide, pH 7.3.
Western blot analysis of various lysates using MED24 Rabbit pAb (CAB8059) at 1:1000 dilution. Secondary antibody: HRP-conjugated Goat anti-Rabbit IgG (H+L) (CABS014) at 1:10000 dilution. Lysates/proteins: 25μg per lane. Blocking buffer: 3% nonfat dry milk in TBST. Detection: ECL Basic Kit (AbGn00020). Exposure time: 45s.