The MFI2 Antibody (CAB6653) is a high-quality antibody developed for reliable detection and analysis of target proteins. This high-quality antibody, raised in rabbits, is highly specific and reactive with human samples, making it ideal for use in Western blot applications.Melanotransferrin, also known as MTF or CD228, is a glycoprotein that plays a role in iron metabolism and cellular growth regulation. It has been implicated in diseases such as cancer, neurodegenerative disorders, and cardiovascular diseases, making it a target of interest in research aimed at understanding the mechanisms underlying these conditions.
This antibody is validated for use in WB, IF/ICC, ELISA applications and has demonstrated reactivity against Human, Mouse, Rat samples.
Product Name:
MFI2 Antibody
SKU:
CAB6653
Size:
20μL, 100μL
Reactivity:
Human, Mouse, Rat
Conjugate:
Unconjugated
Immunogen:
Recombinant protein (or fragment).This information is considered to be commercially sensitive.
The protein encoded by this gene is a cell-surface glycoprotein found on melanoma cells. The protein shares sequence similarity and iron-binding properties with members of the transferrin superfamily. The importance of the iron binding function has not yet been identified. This gene resides in the same region of chromosome 3 as members of the transferrin superfamily. Alternative splicing results in two transcript variants.
Purification Method
Affinity purification
Gene ID
4241
RRID
AB_2767240
Buffer Information
Store at -20℃. Avoid freeze / thaw cycles. Buffer: PBS containing 50% glycerol, preserved with proclin300 or sodium azide, pH 7.3.
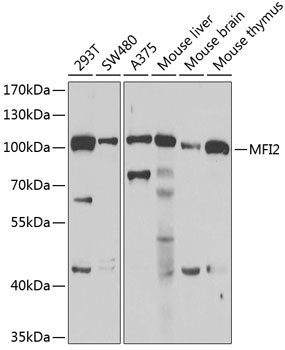
Western blot analysis of various lysates using MFI2 Rabbit pAb (CAB6653) at 1:1000 dilution. Secondary antibody: HRP-conjugated Goat anti-Rabbit IgG (H+L) (CABS014) at 1:10000 dilution. Lysates/proteins: 25μg per lane. Blocking buffer: 3% nonfat dry milk in TBST. Detection: ECL Basic Kit (AbGn00020). Exposure time: 90s.
Immunofluorescence analysis of L929 cells using MFI2 Rabbit pAb (CAB6653) at dilution of 1:100 (40x lens). Secondary antibody: Cy3-conjugated Goat anti-Rabbit IgG (H+L) (CABS007) at 1:500 dilution. Blue: DAPI for nuclear staining.