The MFAP5 Polyclonal Antibody is a crucial tool for researchers studying the extracellular matrix protein MAGP2, which is involved in various biological processes including elastic fiber formation, cell migration, and tissue development. This antibody, raised in rabbits, exhibits high specificity and sensitivity towards human samples and is validated for use in immunohistochemistry and ELISA applications.MAGP2, also known as microfibril-associated glycoprotein 2, is a key component of elastic fibers in the extracellular matrix, providing structural support and elasticity to tissues such as skin, blood vessels, and lungs.
Dysregulation of MAGP2 expression has been linked to several diseases, including cardiovascular disorders and connective tissue disorders.By utilizing the MFAP5 Polyclonal Antibody, researchers can accurately detect and track MAGP2 levels in various tissues and cell types, enabling further exploration of its role in health and disease. This antibody is a valuable tool for studies in molecular biology, cell biology, and tissue engineering, offering insights into the intricate mechanisms underlying tissue homeostasis and pathology.
Product Name:
MFAP5 Polyclonal Antibody
SKU:
CAB22675
Size:
20uL, 100uL
Isotype:
IgG
Host Species:
Rabbit
Reactivity:
Human,Mouse,Rat
Immunogen:
Recombinant protein of human MFAP5.
Tested Applications:
WBELISA
Recommended Dilution:
WB,1:500 - 1:1000
Synonyms:
AAT9; MP25; MAGP2; MAGP-2; MFAP-5; MFAP5
Positive Sample:
U2OS,HeLa,Mouse heart,Rat heart
Conjugate:
Unconjugated
Cellular Localization:
extracellular region
Calculated MW:
20kDa
Observed MW:
25kDa
This gene encodes a 25-kD microfibril-associated glycoprotein which is a component of microfibrils of the extracellular matrix. The encoded protein promotes attachment of cells to microfibrils via alpha-V-beta-3 integrin. Deficiency of this gene in mice results in neutropenia. Alternate splicing results in multiple transcript variants encoding different isoforms.
Purification Method:
Affinity purification
Gene ID:
8076
Storage Buffer:
Store at -20℃. Avoid freeze / thaw cycles.Buffer: PBS with 0.01% thimerosal,50% glycerol,pH7.3.
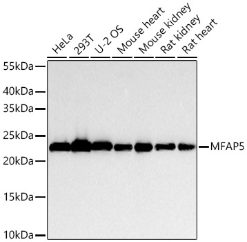
Western blot analysis of various lysates, using MFAP5 antibody (CAB22675) at 1:900 dilution.Secondary antibody: HRP Goat Anti-Rabbit IgG (H+L) (CABS014) at 1:10000 dilution.Lysates/proteins: 25μg per lane.Blocking buffer: 3% nonfat dry milk in TBST.Detection: ECL Basic Kit (AbGn00020).Exposure time: 10s.