The MIB2 Antibody (CAB17829) is a high-quality antibody developed for reliable detection and analysis of target proteins. This antibody, produced in rabbits, exhibits high reactivity with human samples and is validated for use in Western blot applications. By binding to the MIB2 protein, this antibody enables accurate detection and analysis in various cell types, making it an essential tool for researchers in the fields of cell biology and cancer research.MIB2, also known as Mindbomb E3 Ubiquitin Protein Ligase 2, is a key player in controlling the timing and fidelity of cell division, making it a crucial target for studying cellular processes and potential therapeutic interventions.
This antibody is validated for use in WB, IF/ICC, ELISA applications and has demonstrated reactivity against Human, Mouse, Rat samples.
Product Name:
MIB2 Antibody
SKU:
CAB17829
Size:
20μL, 100μL
Reactivity:
Human, Mouse, Rat
Conjugate:
Unconjugated
Immunogen:
Recombinant protein (or fragment).This information is considered to be commercially sensitive.
Recommended starting concentration is 1 μg/mL. Please optimize the concentration based on your specific assay requirements.
Synonyms:
ZZZ5, ZZANK1, MIB2
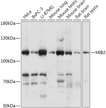
Positive Sample:
HeLa, BxPC-3, U-87MG, Mouse lung, Mouse testis, Mouse brain, Rat brain, Rat testis
Cellular Localization:
Cytoplasm, Cytosol, Endosome.
Calculated MW:
104kDa
Observed MW:
110kDa
The protein encoded by this gene is an E3 ubiquitin protein ligase that mediates ubiquitination of proteins in the Notch signaling pathway. The encoded protein may be a suppressor of melanoma invasion.
Purification Method
Affinity purification
Gene ID
142678
RRID
AB_2770361
Buffer Information
Store at -20℃. Avoid freeze / thaw cycles. Buffer: PBS with 0.01% thimerosal,50% glycerol,pH7.3.
Western blot analysis of various lysates using MIB2 Rabbit pAb (CAB17829) at 1:1000 dilution. Secondary antibody: HRP-conjugated Goat anti-Rabbit IgG (H+L) (CABS014) at 1:10000 dilution. Lysates/proteins: 25μg per lane. Blocking buffer: 3% nonfat dry milk in TBST. Detection: ECL Basic Kit (AbGn00020). Exposure time: 60s.