The MMP8 Antibody (CAB1963) is a high-quality antibody developed for reliable detection and analysis of target proteins. This antibody, generated in rabbits, exhibits high reactivity specifically with human samples, making it ideal for use in Western blot applications. By binding to MMP8, researchers can accurately detect and analyze the enzyme in various cell types, offering valuable insights into its function and role in diseases such as cancer and inflammatory conditions.
This antibody is validated for use in WB, IHC-P, ELISA applications and has demonstrated reactivity against Human, Mouse, Rat samples.
Product Name:
MMP8 Antibody
SKU:
CAB1963
Size:
20μL, 100μL
Reactivity:
Human, Mouse, Rat
Conjugate:
Unconjugated
Immunogen:
Recombinant protein (or fragment).This information is considered to be commercially sensitive.
This gene encodes a member of the matrix metalloproteinase (MMP) family of proteins. These proteins are involved in the breakdown of extracellular matrix in embryonic development, reproduction, and tissue remodeling, as well as in disease processes, such as arthritis and metastasis. Proteolysis at different sites on this protein results in multiple active forms of the enzyme with distinct N-termini. This protein functions in the degradation of type I, II and III collagens. The gene is part of a cluster of MMP genes which localize to chromosome 11q22.3. Alternative splicing results in multiple transcript variants.
Purification Method
Affinity purification
Gene ID
4317
RRID
AB_2763989
Buffer Information
Store at -20℃. Avoid freeze / thaw cycles. Buffer: PBS containing 50% glycerol, preserved with proclin300 or sodium azide, pH 7.3.
Western blot analysis of various lysates using MMP8 Rabbit pAb (CAB1963) at 1:1000 dilution. Secondary antibody: HRP-conjugated Goat anti-Rabbit IgG (H+L) (CABS014) at 1:10000 dilution. Lysates/proteins: 25μg per lane. Blocking buffer: 3% nonfat dry milk in TBST. Detection: ECL Basic Kit (AbGn00020). Exposure time: 30s.
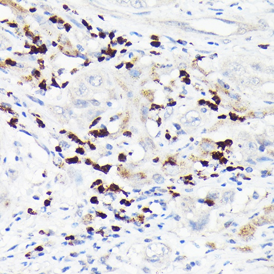
Immunohistochemistry analysis of paraffin-embedded Human liver cancer using MMP8 Rabbit pAb (CAB1963) at dilution of 1:100 (40x lens). High pressure antigen retrieval performed with 0.01M Citrate buffer (pH 6.0) prior to IHC staining.