The MRPL30 Antibody (CAB16529) is a high-quality antibody developed for reliable detection and analysis of target proteins. This antibody is produced in rabbits and is specifically designed to detect MRPL30 in human samples, making it ideal for various research applications, including Western blotting.MRPL30 is essential for the proper functioning of the mitochondria and is involved in the synthesis of proteins necessary for mitochondrial function. Research into MRPL30 can provide insights into mitochondrial protein synthesis, cellular metabolism, and mitochondrial dysfunction, which are important in understanding various diseases, including metabolic disorders and cancer.
This antibody is validated for use in WB, IHC-P, ELISA applications and has demonstrated reactivity against Human, Rat samples.
Product Name:
MRPL30 Antibody
SKU:
CAB16529
Size:
20μL, 100μL
Reactivity:
Human, Rat
Conjugate:
Unconjugated
Immunogen:
Recombinant protein (or fragment).This information is considered to be commercially sensitive.
Mammalian mitochondrial ribosomal proteins are encoded by nuclear genes and help in protein synthesis within the mitochondrion. Mitochondrial ribosomes (mitoribosomes) consist of a small 28S subunit and a large 39S subunit. They have an estimated 75% protein to rRNA composition compared to prokaryotic ribosomes, where this ratio is reversed. Another difference between mammalian mitoribosomes and prokaryotic ribosomes is that the latter contain a 5S rRNA. Among different species, the proteins comprising the mitoribosome differ greatly in sequence, and sometimes in biochemical properties, which prevents easy recognition by sequence homology. This gene encodes a 39S subunit protein. Alternative splicing results in multiple transcript variants. Pseudogenes corresponding to this gene are found on chromosomes 6p and 12p. Read-through transcription also exists between this gene and the neighboring upstream lipoyltransferase 1 (LIPT1) gene.
Purification Method
Affinity purification
Gene ID
51263
RRID
AB_2770429
Buffer Information
Store at -20℃. Avoid freeze / thaw cycles. Buffer: PBS with 0.01% thimerosal,50% glycerol,pH7.3.
Western blot analysis of various lysates using MRPL30 Rabbit pAb (CAB16529) at 1:3000 dilution. Secondary antibody: HRP-conjugated Goat anti-Rabbit IgG (H+L) (CABS014) at 1:10000 dilution. Lysates/proteins: 25μg per lane. Blocking buffer: 3% nonfat dry milk in TBST. Detection: ECL Basic Kit (AbGn00020). Exposure time: 10s.
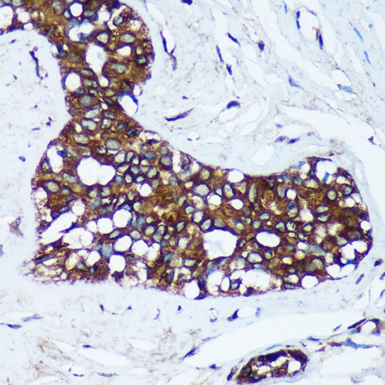
Immunohistochemistry analysis of paraffin-embedded Human breast cancer using MRPL30 Rabbit pAb (CAB16529) at dilution of 1:100 (40x lens). Microwave antigen retrieval performed with 0.01M PBS Buffer (pH 7.2) prior to IHC staining.