The MSTN Antibody (CAB6913) is a high-quality antibody developed for reliable detection and analysis of target proteins. This antibody, produced in rabbits, is highly specific and reactive with human samples, making it ideal for use in Western blot applications. By binding to the MSTN protein, researchers can detect and analyze its expression levels in various cell types, providing important insights into muscle biology and potential therapeutic targets.Myostatin, also known as growth differentiation factor 8 (GDF-8), plays a crucial role in controlling muscle mass by inhibiting muscle cell growth and differentiation.
This antibody is validated for use in WB, IHC-P, ELISA applications and has demonstrated reactivity against Human, Mouse, Rat samples.
Product Name:
MSTN Antibody
SKU:
CAB6913
Size:
20μL, 100μL
Reactivity:
Human, Mouse, Rat
Conjugate:
Unconjugated
Immunogen:
Recombinant protein (or fragment).This information is considered to be commercially sensitive.
Recommended starting concentration is 1 μg/mL. Please optimize the concentration based on your specific assay requirements.
Synonyms:
GDF8, MSLHP, GDF-8/Myostatin
Positive Sample:
HeLa
Cellular Localization:
Secreted.
Calculated MW:
43kDa
Observed MW:
42kDa
This gene encodes a secreted ligand of the TGF-beta (transforming growth factor-beta) superfamily of proteins. Ligands of this family bind various TGF-beta receptors leading to recruitment and activation of SMAD family transcription factors that regulate gene expression. The encoded preproprotein is proteolytically processed to generate each subunit of the disulfide-linked homodimer. This protein negatively regulates skeletal muscle cell proliferation and differentiation. Mutations in this gene are associated with increased skeletal muscle mass in humans and other mammals.
Purification Method
Affinity purification
Gene ID
2660
RRID
AB_2767472
Buffer Information
Store at -20℃. Avoid freeze / thaw cycles. Buffer: PBS containing 50% glycerol, preserved with proclin300 or sodium azide, pH 7.3.
Western blot analysis of lysates from HeLa cells, using GDF-8/Myostatin Rabbit pAb (CAB6913) at 1:500 dilution. Secondary antibody: HRP-conjugated Goat anti-Rabbit IgG (H+L) (CABS014) at 1:10000 dilution. Lysates/proteins: 25μg per lane. Blocking buffer: 3% nonfat dry milk in TBST. Detection: ECL Basic Kit (AbGn00020). Exposure time: 60s.
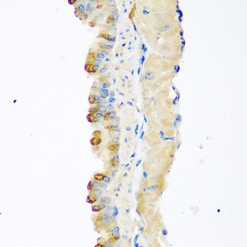
Immunohistochemistry analysis of paraffin-embedded Mouse lung using GDF-8/Myostatin Rabbit pAb (CAB6913) at dilution of 1:100 (40x lens). Microwave antigen retrieval performed with 0.01M PBS Buffer (pH 7.2) prior to IHC staining.