The MT-CYB Antibody (CAB17966) is a high-quality antibody developed for reliable detection and analysis of target proteins. This rabbit polyclonal antibody is highly reactive with human samples and is validated for use in Western blot applications. By specifically binding to the MT-CYB protein, this antibody allows for accurate detection and analysis in various cell types, making it an ideal choice for studies in mitochondrial biology and related fields.
This antibody is validated for use in WB, IHC-P, IF/ICC, ELISA applications and has demonstrated reactivity against Human, Mouse, Rat samples.
Product Name:
MT-CYB Antibody
SKU:
CAB17966
Size:
20μL, 100μL
Reactivity:
Human, Mouse, Rat
Immunogen:
Synthetic peptide. This information is considered to be commercially sensitive.
Recommended starting concentration is 1 μg/mL. Please optimize the concentration based on your specific assay requirements.
Synonyms:
MTCYB, CYTB, MT-CYB
Positive Sample:
mouse heart, rat heart
Cellular Localization:
Mitochondrial Inner Membrane, Mitochondrial Respiratory Chain Complex Iii, Mitochondrion.
Calculated MW:
43kDa
Observed MW:
43kDa
Predicted to enable metal ion binding activity. Predicted to be involved in several processes, including electron transport coupled proton transport; response to cobalamin; and response to glucagon. Located in mitochondrion. Implicated in ovarian carcinoma and urinary bladder cancer.
Purification Method
Affinity purification
Gene ID
4519
RRID
AB_2861768
Buffer Information
Store at -20℃. Avoid freeze / thaw cycles. Buffer: PBS containing 50% glycerol, preserved with proclin300 or sodium azide, pH 7.3.
Western blot analysis of various lysates using MT-CYB Rabbit pAb (CAB17966) at 1:1000 dilution. Secondary antibody: HRP-conjugated Goat anti-Rabbit IgG (H+L) (CABS014) at 1:10000 dilution. Lysates/proteins: 25μg per lane. Blocking buffer: 3% nonfat dry milk in TBST. Detection: ECL Basic Kit (AbGn00020). Exposure time: 10s.
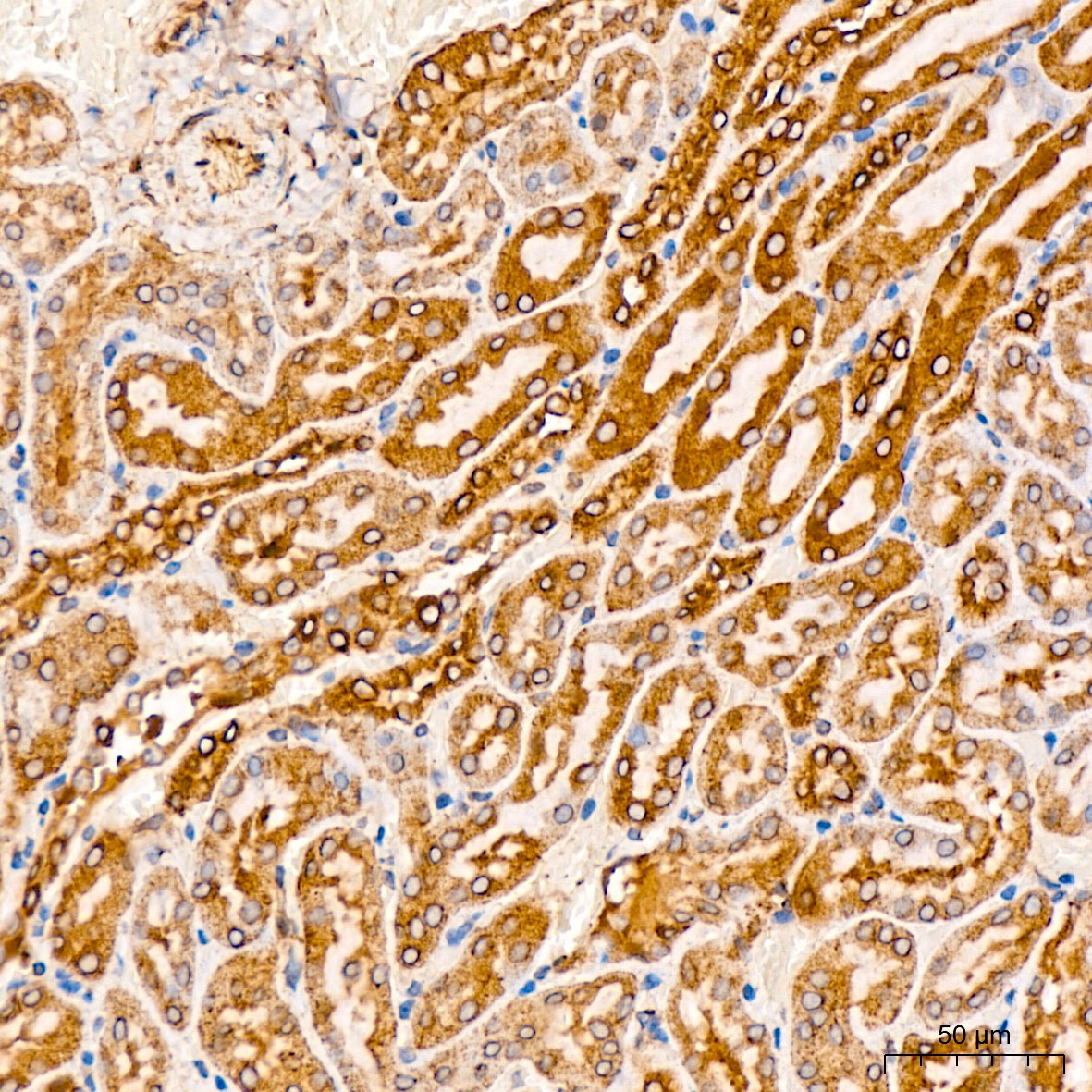
Immunohistochemistry analysis of paraffin-embedded Mouse kidney tissue using MT-CYB Rabbit pAb (CAB17966) at a dilution of 1:100 (40x lens). High pressure antigen retrieval was performed with 0.01 M citrate buffer (pH 6.0) prior to IHC staining.
Immunohistochemistry analysis of paraffin-embedded Human thyroid cancer tissue using MT-CYB Rabbit pAb (CAB17966) at a dilution of 1:100 (40x lens). High pressure antigen retrieval was performed with 0.01 M citrate buffer (pH 6.0) prior to IHC staining.
Immunofluorescence analysis of L929 cells using MT-CYB Rabbit pAb (CAB17966) at dilution of 1:100 (40x lens). Secondary antibody: Cy3-conjugated Goat anti-Rabbit IgG (H+L) (CABS007) at 1:500 dilution. Blue: DAPI for nuclear staining.