The MTMR2 Antibody (CAB8993) is a high-quality antibody developed for reliable detection and analysis of target proteins. This antibody, produced in rabbits, demonstrates high reactivity with human samples and is specifically validated for use in Western blot applications. By targeting the MTMR2 protein, researchers can effectively detect and analyze its expression in various cell types, making it an ideal choice for studies in cell biology and molecular biology.
This antibody is validated for use in WB, ELISA applications and has demonstrated reactivity against Human, Mouse, Rat samples.
Product Name:
MTMR2 Antibody
SKU:
CAB8993
Size:
20μL, 100μL
Reactivity:
Human, Mouse, Rat
Conjugate:
Unconjugated
Immunogen:
Recombinant protein (or fragment).This information is considered to be commercially sensitive.
Cytoplasm, Early Endosome Membrane, Peripheral Membrane Protein.
Calculated MW:
73kDa
Observed MW:
65-73kDa
This gene is a member of the myotubularin family of phosphoinositide lipid phosphatases. The encoded protein possesses phosphatase activity towards phosphatidylinositol-3-phosphate and phosphatidylinositol-3,5-bisphosphate. Mutations in this gene are a cause of Charcot-Marie-Tooth disease type 4B, an autosomal recessive demyelinating neuropathy. Alternatively spliced transcript variants encoding multiple isoforms have been found for this gene.
Purification Method
Affinity purification
Gene ID
8898
RRID
AB_2770471
Buffer Information
Store at -20℃. Avoid freeze / thaw cycles. Buffer: PBS containing 50% glycerol, preserved with proclin300 or sodium azide, pH 7.3.
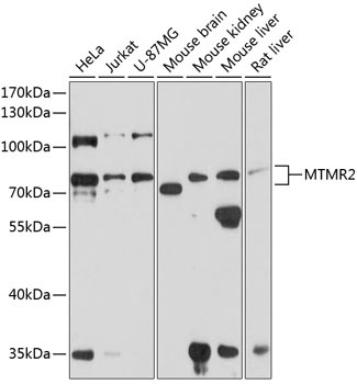
Western blot analysis of various lysates using MTMR2 Rabbit pAb (CAB8993) at 1:1000 dilution. Secondary antibody: HRP-conjugated Goat anti-Rabbit IgG (H+L) (CABS014) at 1:10000 dilution. Lysates/proteins: 25μg per lane. Blocking buffer: 3% nonfat dry milk in TBST. Detection: ECL Basic Kit (AbGn00020). Exposure time: 30s.