The MUT Antibody (CAB3969) is a high-quality antibody developed for reliable detection and analysis of target proteins. This antibody is designed for use in immunohistochemistry and Western blot applications, allowing for the detection and analysis of mutant protein variants.Raised in rabbits, this antibody is highly reactive with human samples and has been validated for its specificity and sensitivity in detecting mutant forms of the target protein. Its binding specificity enables researchers to characterize mutant protein expression in various cell types, providing insights into the impact of mutations on protein function.
This antibody is validated for use in WB, IF/ICC, ELISA applications and has demonstrated reactivity against Human, Mouse, Rat samples.
Product Name:
MUT Antibody
SKU:
CAB3969
Size:
20μL, 100μL
Reactivity:
Human, Mouse, Rat
Conjugate:
Unconjugated
Immunogen:
Recombinant protein (or fragment).This information is considered to be commercially sensitive.
This gene encodes the mitochondrial enzyme methylmalonyl Coenzyme A mutase. In humans, the product of this gene is a vitamin B12-dependent enzyme which catalyzes the isomerization of methylmalonyl-CoA to succinyl-CoA, while in other species this enzyme may have different functions. Mutations in this gene may lead to various types of methylmalonic aciduria.
Purification Method
Affinity purification
Gene ID
4594
RRID
AB_2765419
Buffer Information
Store at -20℃. Avoid freeze / thaw cycles. Buffer: PBS containing 50% glycerol, preserved with proclin300 or sodium azide, pH 7.3.
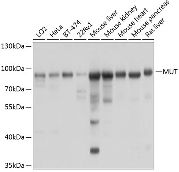
Western blot analysis of various lysates using MUT Rabbit pAb (CAB3969) at 1:1000 dilution. Secondary antibody: HRP-conjugated Goat anti-Rabbit IgG (H+L) (CABS014) at 1:10000 dilution. Lysates/proteins: 25μg per lane. Blocking buffer: 3% nonfat dry milk in TBST. Detection: ECL Basic Kit (AbGn00020). Exposure time: 3s.
Immunofluorescence analysis of L929 cells using MUT Rabbit pAb (CAB3969) at dilution of 1:100 (40x lens). Secondary antibody: Cy3-conjugated Goat anti-Rabbit IgG (H+L) (CABS007) at 1:500 dilution. Blue: DAPI for nuclear staining.