The MXI1 Antibody (CAB12098) is a high-quality antibody developed for reliable detection and analysis of target proteins. This rabbit-derived antibody is highly specific for MXI1 in human samples and is ideal for Western blot applications. By binding to the MXI1 protein, researchers can accurately detect and analyze MXI1 expression in a variety of cell types.MXI1 is a key regulator of cell proliferation and differentiation, with implications in cancer and developmental biology. Its role as a negative regulator of c-Myc activity makes it a potential target for cancer therapy research.
This antibody is validated for use in WB, ELISA applications and has demonstrated reactivity against Human, Mouse, Rat samples.
Product Name:
MXI1 Antibody
SKU:
CAB12098
Size:
20μL, 100μL
Reactivity:
Human, Mouse, Rat
Conjugate:
Unconjugated
Immunogen:
Recombinant protein (or fragment).This information is considered to be commercially sensitive.
Recommended starting concentration is 1 μg/mL. Please optimize the concentration based on your specific assay requirements.
Synonyms:
MXI, MAD2, MXD2, bHLHc11, MXI1
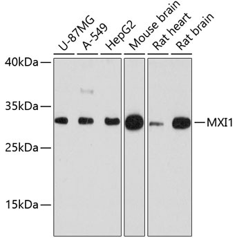
Positive Sample:
U-87MG, A-549, HepG2, Mouse brain, Rat heart, Rat brain
Cellular Localization:
Nucleus.
Calculated MW:
26kDa
Observed MW:
30kDa
Expression of the c-myc gene, which produces an oncogenic transcription factor, is tightly regulated in normal cells but is frequently deregulated in human cancers. The protein encoded by this gene is a transcriptional repressor thought to negatively regulate MYC function, and is therefore a potential tumor suppressor. This protein inhibits the transcriptional activity of MYC by competing for MAX, another basic helix-loop-helix protein that binds to MYC and is required for its function. Defects in this gene are frequently found in patients with prostate tumors. Three alternatively spliced transcripts encoding different isoforms have been described. Additional alternatively spliced transcripts may exist but the products of these transcripts have not been verified experimentally.
Purification Method
Affinity purification
Gene ID
4601
RRID
AB_2758994
Buffer Information
Store at -20℃. Avoid freeze / thaw cycles. Buffer: PBS with 0.01% thimerosal,50% glycerol,pH7.3.
Western blot analysis of various lysates using MXI1 Rabbit pAb (CAB12098) at 1:3000 dilution. Secondary antibody: HRP-conjugated Goat anti-Rabbit IgG (H+L) (CABS014) at 1:10000 dilution. Lysates/proteins: 25μg per lane. Blocking buffer: 3% nonfat dry milk in TBST. Detection: ECL Basic Kit (AbGn00020). Exposure time: 30s.