The MYSM1 Antibody (CAB3102) is a high-quality antibody developed for reliable detection and analysis of target proteins. This antibody, produced in rabbits, demonstrates high reactivity with human samples and has been validated for use in Western blot applications. By specifically binding to the MySM1 protein, researchers can easily detect and analyze its expression in various cell types.MySM1 is a critical component in smooth muscle contraction and relaxation, making it essential for processes such as blood vessel dilation and gastrointestinal motility. Dysregulation of MySM1 has been implicated in diseases like hypertension and gastrointestinal disorders, making it a promising target for therapeutic interventions.
This antibody is validated for use in WB, ELISA applications and has demonstrated reactivity against Human, Mouse, Rat samples.
Product Name:
MYSM1 Antibody
SKU:
CAB3102
Size:
20μL, 100μL
Reactivity:
Human, Mouse, Rat
Conjugate:
Unconjugated
Immunogen:
Synthetic peptide. This information is considered to be commercially sensitive.
Recommended starting concentration is 1 μg/mL. Please optimize the concentration based on your specific assay requirements.
Synonyms:
2ADUB, BMFS4, 2A-DUB, MYSM1
Positive Sample:
U-87MG, A-431, HepG2, HeLa, Jurkat, Mouse brain, Rat brain
Cellular Localization:
Nucleus.
Calculated MW:
95kDa
Observed MW:
105kDa
Enables histone binding activity; peptidase activity; and transcription coactivator activity. Involved in several processes, including chromatin remodeling; monoubiquitinated histone H2A deubiquitination; and positive regulation of transcription by RNA polymerase II. Located in nucleolus and nucleoplasm. Part of protein-containing complex. Implicated in diabetic retinopathy.
Purification Method
Affinity purification
Gene ID
114803
RRID
AB_2764902
Buffer Information
Store at -20℃. Avoid freeze / thaw cycles. Buffer: PBS with 0.01% thimerosal,50% glycerol,pH7.3.
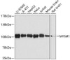
Western blot analysis of various lysates using MYSM1 Rabbit pAb (CAB3102) at 1:3000 dilution. Secondary antibody: HRP-conjugated Goat anti-Rabbit IgG (H+L) (CABS014) at 1:10000 dilution. Lysates/proteins: 25μg per lane. Blocking buffer: 3% nonfat dry milk in TBST. Detection: ECL Basic Kit (AbGn00020). Exposure time: 90s.