The NAA10 Antibody (CAB7009) is a high-quality antibody developed for reliable detection and analysis of target proteins. This antibody, raised in rabbits, is highly specific for human samples and has been validated for use in Western blot applications. By binding to the NAA10 protein, researchers can detect and analyze its expression in different cell types, making it an essential component of studies in molecular biology and cancer research.NAA10, also known as N-alpha-acetyltransferase 10, plays a crucial role in protein synthesis and turnover, making it an attractive target for investigating various diseases such as cancer and neurodegenerative disorders.
This antibody is validated for use in WB, IHC-P, IF/ICC, ELISA applications and has demonstrated reactivity against Human, Mouse, Rat samples.
Product Name:
NAA10 Antibody
SKU:
CAB7009
Size:
20μL, 100μL
Reactivity:
Human, Mouse, Rat
Conjugate:
Unconjugated
Immunogen:
Recombinant protein (or fragment).This information is considered to be commercially sensitive.
Sequence:
HLEL KEKG RHVV LGAI ENKV ESKG NSPP SSGE ACRE EKGL AAED SGGD SKDL SEVS ETTE STDV KDSS EASD SAS
Tested Applications:
WBIHC-PIF/ICCELISA
Recommended Dilution:
WB
1:500 - 1:2000
IHC-P
1:50 - 1:200
IF/ICC
1:50 - 1:100
ELISA
Recommended starting concentration is 1 μg/mL. Please optimize the concentration based on your specific assay requirements.
MCF7, HeLa, HL-60, HepG2, HT-29, Mouse thymus, Rat brain
Cellular Localization:
Cytoplasm, Nucleus.
Calculated MW:
26kDa
Observed MW:
26kDa
N-alpha-acetylation is among the most common post-translational protein modifications in eukaryotic cells. This process involves the transfer of an acetyl group from acetyl-coenzyme A to the alpha-amino group on a nascent polypeptide and is essential for normal cell function. This gene encodes an N-terminal acetyltransferase that functions as the catalytic subunit of the major amino-terminal acetyltransferase A complex. Mutations in this gene are the cause of Ogden syndrome. Alternate splicing results in multiple transcript variants.
Purification Method
Affinity purification
Gene ID
8260
RRID
AB_2767565
Buffer Information
Store at -20℃. Avoid freeze / thaw cycles. Buffer: PBS containing 50% glycerol, preserved with proclin300 or sodium azide, pH 7.3.
Western blot analysis of various lysates using NAA10 Rabbit pAb (CAB7009) at 1:1000 dilution. Secondary antibody: HRP-conjugated Goat anti-Rabbit IgG (H+L) (CABS014) at 1:10000 dilution. Lysates/proteins: 25μg per lane. Blocking buffer: 3% nonfat dry milk in TBST. Detection: ECL Basic Kit (AbGn00020). Exposure time: 10s.
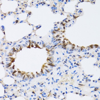
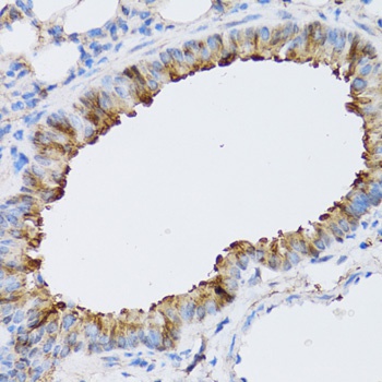
Immunohistochemistry analysis of paraffin-embedded Rat lung using NAA10 Rabbit pAb (CAB7009) at dilution of 1:100 (40x lens). Microwave antigen retrieval performed with 0.01M PBS Buffer (pH 7.2) prior to IHC staining.
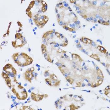
Immunohistochemistry analysis of paraffin-embedded Human stomach using NAA10 Rabbit pAb (CAB7009) at dilution of 1:100 (40x lens). Microwave antigen retrieval performed with 0.01M PBS Buffer (pH 7.2) prior to IHC staining.
Immunohistochemistry analysis of paraffin-embedded Mouse lung using NAA10 Rabbit pAb (CAB7009) at dilution of 1:100 (40x lens). Microwave antigen retrieval performed with 0.01M PBS Buffer (pH 7.2) prior to IHC staining.