NAA38 Antibody is a premium polyclonal that offers outstanding performance and reliability for demanding research applications. Rigorously validated for ELISA, WB, IHC, IF, this antibody ensures consistent, reproducible results across multiple experimental platforms. Demonstrates excellent reactivity with Human, Mouse samples, providing researchers with confidence in cross-species compatibility. Conveniently packaged in 50ug format to meet your experimental needs. For optimal performance, store at -20°C or -80°C and maintains stability for 12 months. Backed by rigorous quality control testing to ensure superior performance in your critical research applications.
Product Name:
NAA38 Antibody
SKU:
PACO40950
Size:
50μg
Isotype:
IgG
Host Species:
Rabbit
Reactivity:
Human, Mouse
Immunogen:
Recombinant Human N-alpha-acetyltransferase 38, NatC auxiliary subunit protein (2-173AA)
Immunogen Species:
Homo sapiens (Human)
Uniprot No:
Q9BRA0
Form:
Liquid
Tested Applications:
ELISAWBIHCIF
Recommended Dilution:
Application
Recommended Dilution
WB
1:500-1:5000
IHC
1:200-1:500
IF
1:50-1:200
Synonyms:
LSM domain-containing protein 1 antibody, lsmd1 antibody, LSMD1_HUMAN antibody, MAK31 antibody, Phosphonoformate immuno-associated protein 2 antibody
Western Blot Positive WB detected in: Mouse kidney tissue All lanes: NAA38 antibody at 4µg/ml Secondary Goat polyclonal to rabbit IgG at 1/50000 dilution Predicted band size: 14, 19 kDa Observed band size: 19 kDa
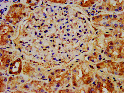
IHC image of PACO40950 diluted at 1:400 and staining in paraffin-embedded human kidney tissue performed on a Leica BondTM system. After dewaxing and hydration, antigen retrieval was mediated by high pressure in a citrate buffer (pH 6.0). Section was blocked with 10% normal goat serum 30min at RT. Then primary antibody (1% BSA) was incubated at 4°C overnight. The primary is detected by a biotinylated secondary antibody and visualized using an HRP conjugated SP system.
Immunofluorescence staining of PC-3 cells with PACO40950 at 1:133, counter-stained with DAPI. The cells were fixed in 4% formaldehyde, permeabilized using 0.2% Triton X-100 and blocked in 10% normal Goat Serum. The cells were then incubated with the antibody overnight at 4°C. The secondary antibody was Alexa Fluor 488-congugated AffiniPure Goat Anti-Rabbit IgG(H+L).