The NAGK Antibody (CAB9070) is a high-quality antibody developed for reliable detection and analysis of target proteins. This antibody, produced in rabbits, is highly specific for human samples and has been validated for use in Western blot applications. By binding to the NAGK protein, this antibody allows for the detection and analysis of NAGK in a variety of cell types, making it ideal for studies in biochemistry and metabolic research.
This antibody is validated for use in WB, ELISA applications and has demonstrated reactivity against Human, Mouse, Rat samples.
Product Name:
NAGK Antibody
SKU:
CAB9070
Size:
20μL, 100μL
Reactivity:
Human, Mouse, Rat
Conjugate:
Unconjugated
Immunogen:
Recombinant protein (or fragment).This information is considered to be commercially sensitive.
Recommended starting concentration is 1 μg/mL. Please optimize the concentration based on your specific assay requirements.
Synonyms:
GNK, HSA242910, NAGK
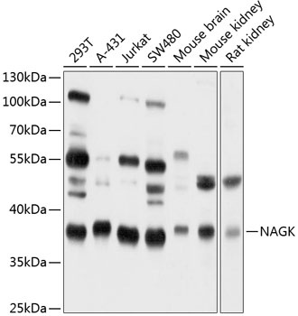
Positive Sample:
293T, A-431, Jurkat, SW480, Mouse brain, Mouse kidney, Rat kidney
Cellular Localization:
Cytosol, Extracellular Exosome.
Calculated MW:
37kDa
Observed MW:
37kDa
This gene encodes a member of the N-acetylhexosamine kinase family. The encoded protein catalyzes the conversion of N-acetyl-D-glucosamine to N-acetyl-D-glucosamine 6-phosphate, and is the major mammalian enzyme which recovers amino sugars.
Purification Method
Affinity purification
Gene ID
55577
RRID
AB_2770516
Buffer Information
Store at -20℃. Avoid freeze / thaw cycles. Buffer: PBS containing 50% glycerol, preserved with proclin300 or sodium azide, pH 7.3.
Western blot analysis of various lysates using NAGK Rabbit pAb (CAB9070) at 1:1000 dilution. Secondary antibody: HRP-conjugated Goat anti-Rabbit IgG (H+L) (CABS014) at 1:10000 dilution. Lysates/proteins: 25μg per lane. Blocking buffer: 3% nonfat dry milk in TBST. Detection: ECL Basic Kit (AbGn00020). Exposure time: 5s.