The NAT2 Antibody (CAB12766) is a high-quality antibody developed for reliable detection and analysis of target proteins. This antibody, produced in rabbits, is highly specific towards human samples and has been validated for Western blot applications. By binding to the NAT2 protein, this antibody enables precise detection and analysis in a variety of cell types, making it an essential tool for research in pharmacology, toxicology, and personalized medicine.NAT2, also known as N-acetyltransferase 2, plays a crucial role in the biotransformation of xenobiotics, which are foreign substances that enter the body.
This antibody is validated for use in WB, IHC-P, ELISA applications and has demonstrated reactivity against Human, Mouse, Rat samples.
Product Name:
NAT2 Antibody
SKU:
CAB12766
Size:
20μL, 100μL
Reactivity:
Human, Mouse, Rat
Conjugate:
Unconjugated
Immunogen:
Recombinant protein (or fragment).This information is considered to be commercially sensitive.
Recommended starting concentration is 1 μg/mL. Please optimize the concentration based on your specific assay requirements.
Synonyms:
AAC2, PNAT, NAT-2, NAT2
Positive Sample:
293T, Mouse heart, Mouse liver, Mouse kidney
Cellular Localization:
Cytoplasm.
Calculated MW:
34kDa
Observed MW:
36kDa
This gene encodes an enzyme that functions to both activate and deactivate arylamine and hydrazine drugs and carcinogens. Polymorphisms in this gene are responsible for the N-acetylation polymorphism in which human populations segregate into rapid, intermediate, and slow acetylator phenotypes. Polymorphisms in this gene are also associated with higher incidences of cancer and drug toxicity. A second polymorphic arylamine N-acetyltransferase gene (NAT1), is located near this gene (NAT2).
Purification Method
Affinity purification
Gene ID
10
RRID
AB_2759611
Buffer Information
Store at -20℃. Avoid freeze / thaw cycles. Buffer: PBS with 0.01% thimerosal,50% glycerol,pH7.3.
Western blot analysis of various lysates using NAT2 Rabbit pAb (CAB12766) at 1:3000 dilution. Secondary antibody: HRP-conjugated Goat anti-Rabbit IgG (H+L) (CABS014) at 1:10000 dilution. Lysates/proteins: 25μg per lane. Blocking buffer: 3% nonfat dry milk in TBST. Detection: ECL Enhanced Kit (AbGn00021). Exposure time: 30s.
Immunohistochemistry analysis of paraffin-embedded Rat lung using NAT2 Rabbit pAb (CAB12766) at dilution of 1:100 (40x lens). Microwave antigen retrieval performed with 0.01M PBS Buffer (pH 7.2) prior to IHC staining.
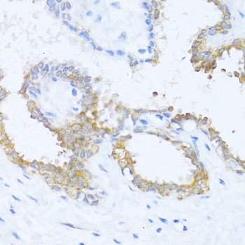
Immunohistochemistry analysis of paraffin-embedded Human breast using NAT2 Rabbit pAb (CAB12766) at dilution of 1:100 (40x lens). Microwave antigen retrieval performed with 0.01M PBS Buffer (pH 7.2) prior to IHC staining.