The NDE1 Antibody (CAB7112) is a high-quality antibody developed for reliable detection and analysis of target proteins. This antibody, raised in rabbits, has a high reactivity with human samples and is validated for use in Western blot applications. By specifically binding to the NDE1 protein, this antibody enables accurate detection and analysis in various cell types, making it ideal for studies in neuroscience and developmental biology.
This antibody is validated for use in WB, IHC-P, ELISA applications and has demonstrated reactivity against Human, Mouse, Rat samples.
Product Name:
NDE1 Antibody
SKU:
CAB7112
Size:
20μL, 100μL
Reactivity:
Human, Mouse, Rat
Conjugate:
Unconjugated
Immunogen:
Recombinant protein (or fragment).This information is considered to be commercially sensitive.
This gene encodes a member of the nuclear distribution E (NudE) family of proteins. The encoded protein is localized at the centrosome and interacts with other centrosome components as part of a multiprotein complex that regulates dynein function. This protein plays an essential role in microtubule organization, mitosis and neuronal migration. Mutations in this gene cause lissencephaly 4, a disorder characterized by lissencephaly, severe brain atrophy, microcephaly, and severe cognitive disability. Alternative splicing results in multiple transcript variants.
Purification Method
Affinity purification
Gene ID
54820
RRID
AB_2767667
Buffer Information
Store at -20℃. Avoid freeze / thaw cycles. Buffer: PBS containing 50% glycerol, preserved with proclin300 or sodium azide, pH 7.3.
Western blot analysis of various lysates using NDE1 Rabbit pAb (CAB7112) at 1:1000 dilution. Secondary antibody: HRP-conjugated Goat anti-Rabbit IgG (H+L) (CABS014) at 1:10000 dilution. Lysates/proteins: 25μg per lane. Blocking buffer: 3% nonfat dry milk in TBST. Detection: ECL Basic Kit (AbGn00020). Exposure time: 90s.
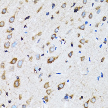
Immunohistochemistry analysis of paraffin-embedded Rat brain using NDE1 Rabbit pAb (CAB7112) at dilution of 1:100 (40x lens). Microwave antigen retrieval performed with 0.01M PBS Buffer (pH 7.2) prior to IHC staining.
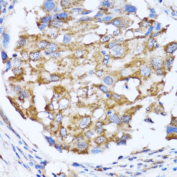
Immunohistochemistry analysis of paraffin-embedded Human breast cancer using NDE1 Rabbit pAb (CAB7112) at dilution of 1:100 (40x lens). Microwave antigen retrieval performed with 0.01M PBS Buffer (pH 7.2) prior to IHC staining.