The NDUFB9 Antibody (CAB17454) is a high-quality antibody developed for reliable detection and analysis of target proteins. This antibody, produced in rabbits, exhibits high reactivity with human samples and has been validated for use in Western blot applications. By binding specifically to NDUFB9, this antibody enables the detection and analysis of the protein in various cell types, making it an ideal choice for studies in mitochondrial biology and energy metabolism.NDUFB9 is essential for the function of complex I in the electron transport chain, playing a key role in the generation of ATP through oxidative phosphorylation.
This antibody is validated for use in WB, IHC-P, ELISA applications and has demonstrated reactivity against Human, Mouse, Rat samples.
Product Name:
NDUFB9 Antibody
SKU:
CAB17454
Size:
20μL, 100μL
Reactivity:
Human, Mouse, Rat
Conjugate:
Unconjugated
Immunogen:
Recombinant protein (or fragment).This information is considered to be commercially sensitive.
The protein encoded by this gene is a subunit of the mitochondrial oxidative phosphorylation complex I (nicotinamide adenine dinucleotide: ubiquinone oxidoreductase). Complex I is localized to the inner mitochondrial membrane and functions to dehydrogenate nicotinamide adenine dinucleotide and to shuttle electrons to coenzyme Q. Complex I deficiency is the most common defect found in oxidative phosphorylation disorders and results in a range of conditions, including lethal neonatal disease, hypertrophic cardiomyopathy, liver disease, and adult-onset neurodegenerative disorders. Pseudogenes of this gene are found on chromosomes five, seven and eight. Alternative splicing results in multiple transcript variants.
Purification Method
Affinity purification
Gene ID
4715
RRID
AB_2770550
Buffer Information
Store at -20℃. Avoid freeze / thaw cycles. Buffer: PBS with 0.01% thimerosal,50% glycerol,pH7.3.
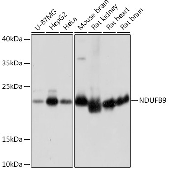
Western blot analysis of various lysates using NDUFB9 Rabbit pAb (CAB17454) at 1:1000 dilution. Secondary antibody: HRP-conjugated Goat anti-Rabbit IgG (H+L) (CABS014) at 1:10000 dilution. Lysates/proteins: 25μg per lane. Blocking buffer: 3% nonfat dry milk in TBST. Detection: ECL Basic Kit (AbGn00020). Exposure time: 1s.
Immunohistochemistry analysis of paraffin-embedded Rat heart using NDUFB9 Rabbit pAb (CAB17454) at dilution of 1:100 (40x lens). Microwave antigen retrieval performed with 0.01M PBS Buffer (pH 7.2) prior to IHC staining.
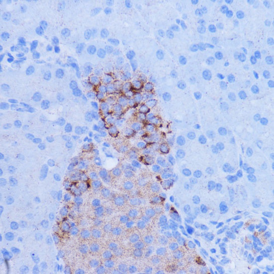
Immunohistochemistry analysis of paraffin-embedded Mouse pancreas using NDUFB9 Rabbit pAb (CAB17454) at dilution of 1:100 (40x lens). Microwave antigen retrieval performed with 0.01M PBS Buffer (pH 7.2) prior to IHC staining.