The NEK3 Antibody (CAB6665) is a high-quality antibody developed for reliable detection and analysis of target proteins. This antibody, produced in rabbits, demonstrates high reactivity with human samples and has been validated for use in Western blot applications. By targeting the NEK3 protein, this antibody allows for precise detection and analysis in various cell types, making it an essential component for studies in cell biology and cancer research.NEK3 is involved in crucial cellular processes such as cell division, proliferation, and DNA damage response, making it a promising target for investigating diseases like cancer and genetic disorders.
This antibody is validated for use in WB, ELISA applications and has demonstrated reactivity against Human, Mouse, Rat samples.
Product Name:
NEK3 Antibody
SKU:
CAB6665
Size:
20μL, 100μL
Reactivity:
Human, Mouse, Rat
Conjugate:
Unconjugated
Immunogen:
Recombinant protein (or fragment).This information is considered to be commercially sensitive.
Recommended starting concentration is 1 μg/mL. Please optimize the concentration based on your specific assay requirements.
Synonyms:
HSPK36, NEK3
Positive Sample:
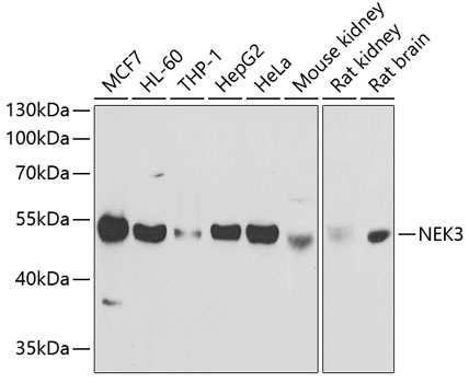
MCF7, HL-60, THP-1, HepG2, HeLa, Mouse kidney, Rat kidney, Rat brain
Cellular Localization:
Cell Projection, Cytoplasm, Axon.
Calculated MW:
58kDa
Observed MW:
55kDa
This gene encodes a member of the NimA (never in mitosis A) family of serine/threonine protein kinases. The encoded protein differs from other NimA family members in that it is not cell cycle regulated and is found primarily in the cytoplasm. The kinase is activated by prolactin stimulation, leading to phosphorylation of VAV2 guanine nucleotide exchange factor, paxillin, and activation of the RAC1 GTPase. Two functional alleles for this gene have been identified in humans. The reference genome assembly (GRCh38) represents a functional allele that is associated with the inclusion of an additional coding exon in protein-coding transcripts, compared to an alternate functional allele that lacks the exon.
Purification Method
Affinity purification
Gene ID
4752
RRID
AB_2767252
Buffer Information
Store at -20℃. Avoid freeze / thaw cycles. Buffer: PBS containing 50% glycerol, preserved with proclin300 or sodium azide, pH 7.3.
Western blot analysis of various lysates using NEK3 Rabbit pAb (CAB6665) at 1:1000 dilution. Secondary antibody: HRP-conjugated Goat anti-Rabbit IgG (H+L) (CABS014) at 1:10000 dilution. Lysates/proteins: 25μg per lane. Blocking buffer: 3% nonfat dry milk in TBST. Detection: ECL Basic Kit (AbGn00020). Exposure time: 1s.