The Nestin Antibody (CAB11861) is a high-quality antibody developed for reliable detection and analysis of target proteins. This antibody, generated in rabbits, has high reactivity with human samples and is validated for use in various applications, including Western blot and immunofluorescence.Nestin is a key protein involved in neurogenesis and is critical for maintaining the self-renewal and multipotency of neural stem cells. By targeting Nestin with this antibody, researchers can accurately detect and analyze the distribution and expression levels of Nestin in different cell types, making it an essential tool for studies in neuroscience, developmental biology, and regenerative medicine.
This antibody is validated for use in WB, IHC-P, IF/ICC, ELISA applications and has demonstrated reactivity against Human, Mouse, Rat samples.
Product Name:
Nestin Antibody
SKU:
CAB11861
Size:
20μL, 100μL
Reactivity:
Human, Mouse, Rat
Conjugate:
Unconjugated
Immunogen:
Recombinant protein (or fragment).This information is considered to be commercially sensitive.
Recommended starting concentration is 1 μg/mL. Please optimize the concentration based on your specific assay requirements.
Synonyms:
Nbla00170, Nestin
Positive Sample:
Neuro-2a
Cellular Localization:
Cytoplasm, Intermediate Filament Cytoskeleton.
Calculated MW:
177kDa
Observed MW:
150kDa/177kDa
This gene encodes a member of the intermediate filament protein family and is expressed primarily in nerve cells.
Purification Method
Affinity purification
Gene ID
10763
RRID
AB_2716817
Buffer Information
Store at -20℃. Avoid freeze / thaw cycles. Buffer: PBS with 0.09% Sodium azide,50% glycerol,pH7.3.
Western blot analysis of lysates from Neuro-2a cells, using Nestin Rabbit pAb (CAB11861) at 1:1000 dilution. Secondary antibody: HRP-conjugated Goat anti-Rabbit IgG (H+L) (CABS014) at 1:10000 dilution. Lysates/proteins: 25μg per lane. Blocking buffer: 3% nonfat dry milk in TBST. Detection: ECL Basic Kit (AbGn00020). Exposure time: 3s.
Immunohistochemistry analysis of paraffin-embedded Mouse brain using Nestin Rabbit pAb (CAB11861) at dilution of 100 (40x lens). Microwave antigen retrieval performed with 0.01M PBS Buffer (pH 7.2) prior to IHC staining.
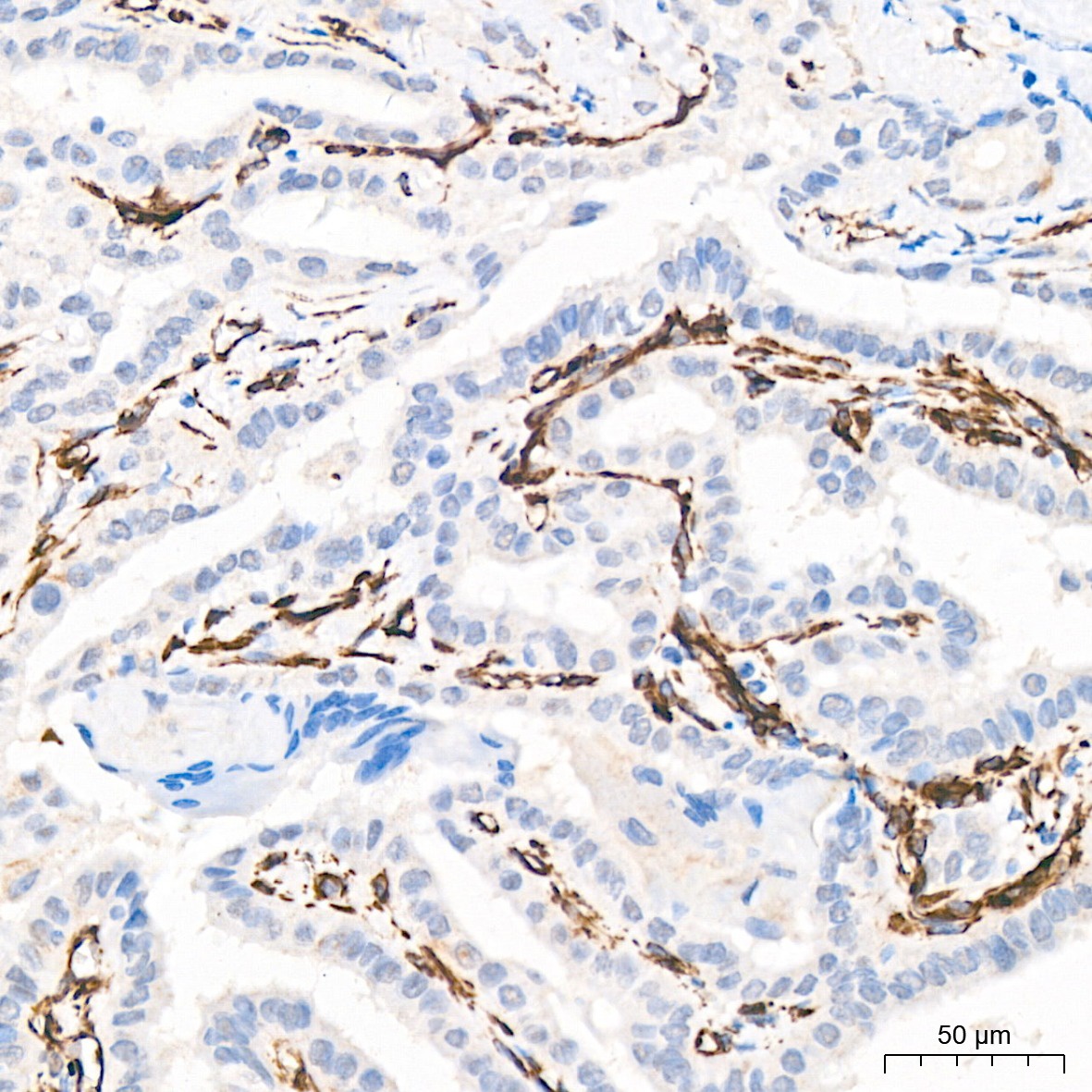
Immunohistochemistry analysis of paraffin-embedded Human thyroid cancer tissue using Nestin Rabbit pAb (CAB11861) at a dilution of 1:1000 (40x lens). High pressure antigen retrieval was performed with 0.01 M citrate buffer (pH 6.0) prior to IHC staining.
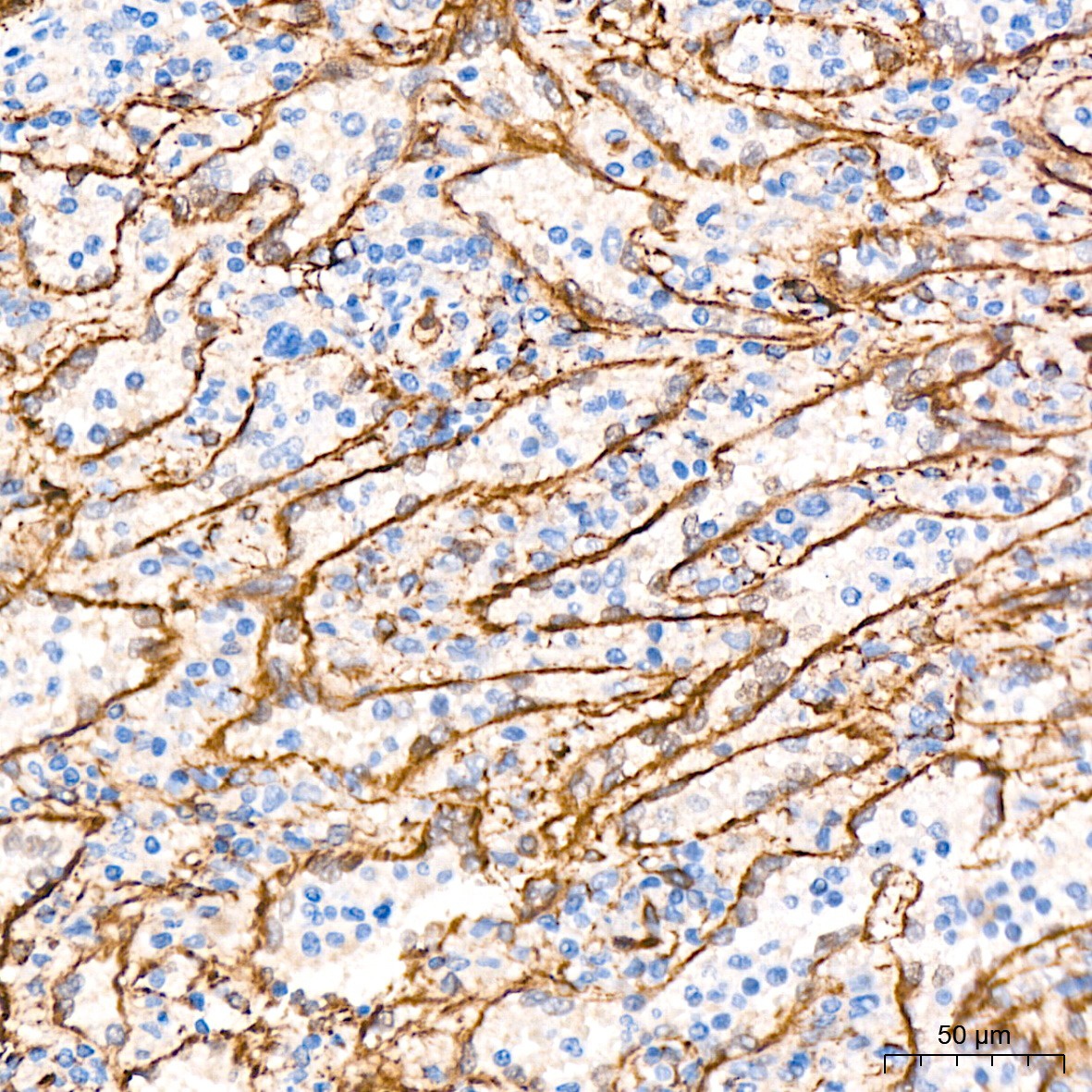
Immunohistochemistry analysis of paraffin-embedded Human spleen tissue using Nestin Rabbit pAb (CAB11861) at a dilution of 1:1000 (40x lens). High pressure antigen retrieval was performed with 0.01 M citrate buffer (pH 6.0) prior to IHC staining.
Immunofluorescence analysis of Neuro-2a cells using Nestin Rabbit pAb (CAB11861) at dilution of 1:50 (40x lens). Secondary antibody: Cy3-conjugated Goat anti-Rabbit IgG (H+L) (CABS007) at 1:500 dilution. Blue: DAPI for nuclear staining.