The NFAT2 Antibody (CAB16928) is a high-quality antibody developed for reliable detection and analysis of target proteins. This rabbit polyclonal antibody is highly specific and reactive with human samples, making it ideal for use in Western blot applications.NFATc1, also known as nuclear factor of activated T-cells, plays a critical role in immune cell activation and differentiation. It is involved in the regulation of genes responsible for cytokine production and immune cell function.
This antibody is validated for use in WB, IHC-P, ELISA applications and has demonstrated reactivity against Human samples.
Product Name:
NFAT2 Antibody
SKU:
CAB16928
Size:
20μL, 100μL
Reactivity:
Human
Immunogen:
Recombinant protein (or fragment).This information is considered to be commercially sensitive.
Recommended starting concentration is 1 μg/mL. Please optimize the concentration based on your specific assay requirements.
Synonyms:
NFAT2, NFATc, NF-ATC, NF-ATc1.2
Positive Sample:
293T, U-87MG, K-562
Cellular Localization:
Cytoplasm, Nucleus.
Calculated MW:
101kDa
Observed MW:
75-100kDa
The product of this gene is a component of the nuclear factor of activated T cells DNA-binding transcription complex. This complex consists of at least two components: a preexisting cytosolic component that translocates to the nucleus upon T cell receptor (TCR) stimulation, and an inducible nuclear component. Proteins belonging to this family of transcription factors play a central role in inducible gene transcription during immune response. The product of this gene is an inducible nuclear component. It functions as a major molecular target for the immunosuppressive drugs such as cyclosporin A. Multiple alternatively spliced transcript variants encoding distinct isoforms have been identified for this gene. Different isoforms of this protein may regulate inducible expression of different cytokine genes.
Purification Method
Affinity purification
Gene ID
4772
RRID
AB_2770573
Buffer Information
Store at -20℃. Avoid freeze / thaw cycles. Buffer: PBS with 0.01% thimerosal,50% glycerol,pH7.3.
Western blot analysis of various lysates using NFAT2 Rabbit pAb (CAB16928) at 1:1000 dilution. Secondary antibody: HRP-conjugated Goat anti-Rabbit IgG (H+L) (CABS014) at 1:10000 dilution. Lysates/proteins: 25μg per lane. Blocking buffer: 3% nonfat dry milk in TBST. Detection: ECL Basic Kit (AbGn00020). Exposure time: 30s.
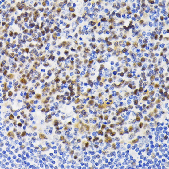
Immunohistochemistry analysis of paraffin-embedded Human tonsil using NFAT2 Rabbit pAb (CAB16928) at dilution of 1:200 (40x lens). Microwave antigen retrieval performed with 0.01M PBS Buffer (pH 7.2) prior to IHC staining.